O-GlcNAc antibody [RL2]

Cat. No. GTX05118
Cat. No.  GTX05118
Anti-O-GlcNAc antibody [RL2] used in Immunocytochemistry/ Immunofluorescence (ICC/IF). GTX05118
GTX05118 ICC/IF Image

ICC/IF analysis of 4% PFA-fixed Neuro2a cells using GTX05118 O-GlcNAc antibody [RL2].
Green : Primary antibody
Blue : DAPI
Dilution : 5 μg/ml
Permeabilization : 0.5% Triton X-100

1 / 5
Anti-O-GlcNAc antibody [RL2] used in Immunocytochemistry/ Immunofluorescence (ICC/IF). GTX05118
GTX05118 ICC/IF Image

ICC/IF analysis of 4% PFA-fixed HeLa cells using GTX05118 O-GlcNAc antibody [RL2].
Green : Primary antibody
Blue : DAPI
Dilution : 5 μg/ml
Permeabilization : 0.5% Triton X-100

2 / 5
Anti-O-GlcNAc antibody [RL2] used in Flow cytometry (FCM). GTX05118
GTX05118 FCM Image

FCM analysis of 4% PFA-fixed Neuro2a cells using GTX05118 O-GlcNAc antibody [RL2].
Blue line : Primary antibody
Orange line : Isotype control
Dilution : 1 μg/ml
Permeabilization : 0.1% saponin

3 / 5
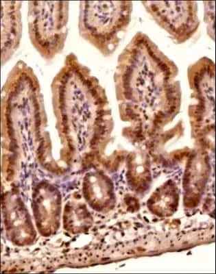
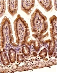
Anti-O-GlcNAc antibody [RL2] used in IHC (Paraffin sections) (IHC-P). GTX05118
GTX05118 IHC-P Image

IHC-P analysis of mouse colon tissue using GTX05118 O-GlcNAc antibody [RL2].
Dilution : 1:200

4 / 5
Anti-O-GlcNAc antibody [RL2] used in Flow cytometry (FCM). GTX05118
GTX05118 FCM Image

FCM analysis of 4% PFA-fixed Jurkat cells using GTX05118 O-GlcNAc antibody [RL2].
Blue line : Primary antibody
Orange line : Isotype control
Dilution : 1 μg/ml
Permeabilization : 0.1% saponin

5 / 5
Anti-O-GlcNAc antibody [RL2] used in Immunocytochemistry/ Immunofluorescence (ICC/IF). GTX05118
Anti-O-GlcNAc antibody [RL2] used in Immunocytochemistry/ Immunofluorescence (ICC/IF). GTX05118
Anti-O-GlcNAc antibody [RL2] used in Flow cytometry (FCM). GTX05118
Anti-O-GlcNAc antibody [RL2] used in IHC (Paraffin sections) (IHC-P). GTX05118
Anti-O-GlcNAc antibody [RL2] used in Flow cytometry (FCM). GTX05118
  • Host
    Mouse
  • Clonality
    Monoclonal
  • Clone Name
    RL2
  • Isotype
    IgG1
  • Applications
    WB ICC/IF IHC-P FCM IP Dot ELISA ChIP assay
  • Reactivity
    Species independent
See all O-Linked N-Acetylglucosamine products