O-GlcNAc transferase antibody, Internal

Cat. No. GTX89131
Cat. No.  GTX89131
Anti-O-GlcNAc transferase antibody, Internal used in Western Blot (WB). GTX89131
GTX89131 WB Image

WB analysis of rat pancreas lysate using GTX89131 O-GlcNAc transferase antibody, Internal.
Dilution : 0.05μg/ml
Loading : 35μg protein in RIPA buffer

1 / 2
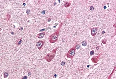
Anti-O-GlcNAc transferase antibody, Internal used in IHC (Paraffin sections) (IHC-P). GTX89131
GTX89131 IHC-P Image

IHC-P analysis of human cortex using GTX89131 O-GlcNAc transferase antibody, Internal.
Antigen retrieval : citrate buffer pH 6
Dilution : 5μg/ml

2 / 2
Anti-O-GlcNAc transferase antibody, Internal used in Western Blot (WB). GTX89131
Anti-O-GlcNAc transferase antibody, Internal used in IHC (Paraffin sections) (IHC-P). GTX89131
  • Host
    Goat
  • Clonality
    Polyclonal
  • Isotype
    IgG
  • Applications
    WB IHC-P
  • Reactivity
    Human, Rat
See all O-GlcNAc transferase products