OSBPL11 antibody [7B3]

Cat. No. GTX83965
Cat. No.  GTX83965
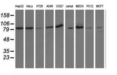
Anti-OSBPL11 antibody [7B3] used in Western Blot (WB). GTX83965
GTX83965 WB Image

WB analysis of various cell lines using GTX83965 OSBPL11 antibody [7B3].
Loading : 35 ug per lane

1 / 2
Anti-OSBPL11 antibody [7B3] used in Western Blot (WB). GTX83965
GTX83965 WB Image

WB analysis of HEK293T cells transfected with OSBPL11 plasmid (Right) or empty vector (Left) for 48 hrs using GTX83965 OSBPL11 antibody [7B3].
Loading : 5 ug per lane

2 / 2
Anti-OSBPL11 antibody [7B3] used in Western Blot (WB). GTX83965
Anti-OSBPL11 antibody [7B3] used in Western Blot (WB). GTX83965
  • Host
    Mouse
  • Clonality
    Monoclonal
  • Clone Name
    7B3
  • Isotype
    IgG2a
  • Applications
    WB
  • Reactivity
    Human, Rat, Dog, Monkey
See all OSBPL11 products