Oct4 antibody [9B7]

Cat. No. GTX83850
Cat. No.  GTX83850
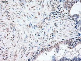
Anti-Oct4 antibody [9B7] used in IHC (Paraffin sections) (IHC-P). GTX83850
GTX83850 IHC-P Image

IHC-P analysis of human lung tissue using GTX83850 Oct4 antibody [9B7].
Antigen retrieval : Heat-induced epitope retrieval by 10mM citrate buffer, pH6.0, 100ºC for 10min.

1 / 6
Anti-Oct4 antibody [9B7] used in IHC (Paraffin sections) (IHC-P). GTX83850
GTX83850 IHC-P Image

IHC-P analysis of human endometrium tissue using GTX83850 Oct4 antibody [9B7].
Antigen retrieval : Heat-induced epitope retrieval by 10mM citrate buffer, pH6.0, 100ºC for 10min.

2 / 6
Anti-Oct4 antibody [9B7] used in Immunocytochemistry/ Immunofluorescence (ICC/IF). GTX83850
GTX83850 ICC/IF Image

ICC/IF analysis of COS7 cells transiently transfected with 43377 plasmid using GTX83850 Oct4 antibody [9B7].

3 / 6
Anti-Oct4 antibody [9B7] used in Western Blot (WB). GTX83850
GTX83850 WB Image

WB analysis of MDCK cell lysate using GTX83850 Oct4 antibody [9B7].
Loading : 10 ug per lane
Dilution : 1:200

4 / 6
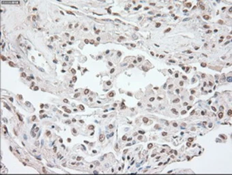
Anti-Oct4 antibody [9B7] used in IHC (Paraffin sections) (IHC-P). GTX83850
GTX83850 IHC-P Image

IHC-P analysis of human ovary tissue using GTX83850 Oct4 antibody [9B7].
Antigen retrieval : Heat-induced epitope retrieval by 10mM citrate buffer, pH6.0, 100ºC for 10min.

5 / 6
Anti-Oct4 antibody [9B7] used in Western Blot (WB). GTX83850
GTX83850 WB Image

WB analysis of HEK293T cells transfected with Oct4 plasmid (Right) or empty vector (Left) for 48 hrs using GTX83850 Oct4 antibody [9B7].
Loading : 5 ug per lane

6 / 6
Anti-Oct4 antibody [9B7] used in IHC (Paraffin sections) (IHC-P). GTX83850
Anti-Oct4 antibody [9B7] used in IHC (Paraffin sections) (IHC-P). GTX83850
Anti-Oct4 antibody [9B7] used in Immunocytochemistry/ Immunofluorescence (ICC/IF). GTX83850
Anti-Oct4 antibody [9B7] used in Western Blot (WB). GTX83850
Anti-Oct4 antibody [9B7] used in IHC (Paraffin sections) (IHC-P). GTX83850
Anti-Oct4 antibody [9B7] used in Western Blot (WB). GTX83850
  • Host
    Mouse
  • Clonality
    Monoclonal
  • Clone Name
    9B7
  • Isotype
    IgG1
  • Applications
    WB ICC/IF IHC-P
  • Reactivity
    Human, Dog
See all Oct4 products