Oct4 antibody [GT486]

Cat. No. GTX627419
Cat. No.  GTX627419
Anti-Oct4 antibody [GT486] used in Immunoprecipitation (IP). GTX627419
GTX627419 IP Image

Oct4 antibody immunoprecipitates Oct4 protein in IP experiments. IP Sample: cell lysate/extract of Oct4 gene transfected 293T cells A. Cell lysate/extract of transfected 293T cell B. Control with 2 μg of preimmune mouse IgG C. Immunoprecipitation of Oct4 by 2 μg of Oct4 antibody (GTX627419) 12% SDS-PAGE The immunoprecipitated Oct4 protein was detected by Oct4 antibody (GTX627419) diluted at 1:1000. EasyBlot anti-mouse IgG (GTX221667-01) was used as a secondary reagent.

1 / 14
Anti-Oct4 antibody [GT486] used in Western Blot (WB). GTX627419
GTX627419 WB Image

Mouse tissue extract (50 μg) was separated by 10% SDS-PAGE, and the membrane was blotted with Oct4 antibody [GT486] (GTX627419) diluted at 1:1000. The HRP-conjugated anti-mouse IgG antibody (GTX213111-01) was used to detect the primary antibody.

2 / 14
Anti-Oct4 antibody [GT486] used in Immunocytochemistry/ Immunofluorescence (ICC/IF). GTX627419
GTX627419 ICC/IF Image

Oct4 antibody detects Oct4 protein by immunofluorescent analysis.
Sample: human embryonic stem cell were fixed in 4% paraformaldehyde for 15 min.
Green: Oct4 protein stained by Oct4 antibody (GTX627419) diluted at 1:200.
Blue: Hoechst 33342 staining.
Scale bar = 10 μm.

3 / 14
Anti-Oct4 antibody [GT486] used in Western Blot (WB). GTX627419
GTX627419 WB Image

Sample (10 μg of whole cell lysate)
A: Non-transfected HeLa lysates
B: HeLa transfected recombinant Oct4 protein
10% SDS PAGE
GTX627419 diluted at 1:1000
The HRP-conjugated anti-mouse IgG antibody (GTX213111-01) was used to detect the primary antibody.

4 / 14
Anti-Oct4 antibody [GT486] used in Western Blot (WB). GTX627419
GTX627419 WB Image

Non-transfected (–) and transfected (+) NT2D1 whole cell extracts (30 μg) were separated by 10% SDS-PAGE, and the membrane was blotted with Oct4 antibody [GT486] (GTX627419) diluted at 1:120000. The HRP-conjugated anti-mouse IgG antibody (GTX213111-01) was used to detect the primary antibody.

5 / 14
Anti-Oct4 antibody [GT486] used in Flow cytometry (FCM). GTX627419
GTX627419 FCM Image

Oct4 antibody [GT486] detects POU5F protein by flow cytomertry analysis. Sample: Human embryonic stem cells Black: Isotype control dilution: 1:50 Green: Oct4 antibody [GT486] dilution: 1:50

6 / 14
Anti-Oct4 antibody [GT486] used in Western Blot (WB). GTX627419
GTX627419 WB Image

Oct4 antibody [GT486] detects Oct4 protein by western blot analysis.
A. 30 μg human ESC whole cell lysate/extract
10% SDS-PAGE
(GTX627419) dilution: 1:1000
The HRP-conjugated anti-mouse IgG antibody (GTX213111-01) was used to detect the primary antibody.

7 / 14
Anti-Oct4 antibody [GT486] used in IHC (Paraffin sections) (IHC-P). GTX627419
GTX627419 IHC-P Image

Oct4 antibody [GT486] detects Oct4 protein at nucleus by immunohistochemical analysis.
Sample: Paraffin-embedded human cervical carcinoma.
Oct4 stained by Oct4 antibody [GT486] (GTX627419) diluted at 1:200.
Antigen Retrieval: Citrate buffer, pH 6.0, 15 min

8 / 14
Anti-Oct4 antibody [GT486] used in Western Blot (WB). GTX627419
GTX627419 WB Image

Whole cell extract (30 μg) was separated by 10% SDS-PAGE, and the membrane was blotted with Oct4 antibody [GT486] (GTX627419) diluted at 1:1000. The HRP-conjugated anti-mouse IgG antibody (GTX213111-01) was used to detect the primary antibody.

9 / 14
Anti-Oct4 antibody [GT486] used in IHC (Paraffin sections) (IHC-P). GTX627419
GTX627419 IHC-P Image

Oct4 antibody [GT486] detects Oct4 protein at nucleus by immunohistochemical analysis.
Sample: Paraffin-embedded human breast carcinoma.
Oct4 stained by Oct4 antibody [GT486] (GTX627419) diluted at 1:500.
Antigen Retrieval: Citrate buffer, pH 6.0, 15 min

10 / 14
Anti-Oct4 antibody [GT486] used in IHC (Paraffin sections) (IHC-P). GTX627419
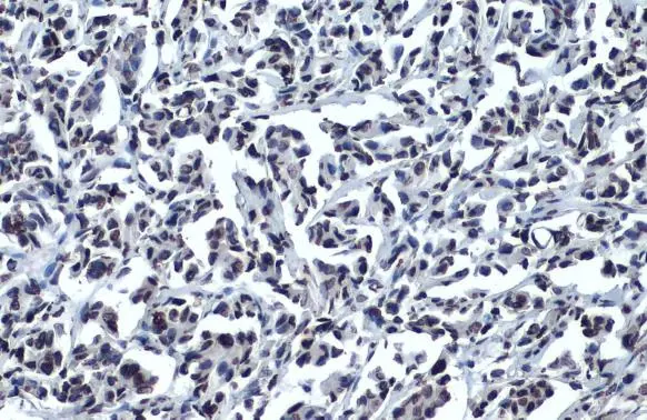
GTX627419 IHC-P Image

Immunohistochemical analysis of paraffin-embedded BT483 xenograft, using OCT3/4(GTX627419) antibody at 1:200 dilution.
Antigen Retrieval: Trilogy™ (EDTA based, pH 8.0) buffer, 15min

11 / 14
Anti-Oct4 antibody [GT486] used in Immunocytochemistry/ Immunofluorescence (ICC/IF). GTX627419
GTX627419 ICC/IF Image

Oct4 antibody [GT486] detects Oct4 protein at nucleus by immunofluorescent analysis.
Sample: NT2D1 cells were fixed in 4% paraformaldehyde at RT for 15 min.
Green: Oct4 stained by Oct4 antibody [GT486] (GTX627419) diluted at 1:500.
Red: beta Tubulin, a cytoskeleton marker, stained by beta Tubulin antibody (GTX101279) diluted at 1:1000.

12 / 14
Anti-Oct4 antibody [GT486] used in Western Blot (WB). GTX627419
GTX627419 WB Image

The data was published in the 2020 in Sci Rep. PMID: 32398775

13 / 14
Anti-Oct4 antibody [GT486] used in Western Blot (WB). GTX627419
GTX627419 WB Image

The data was published in the journal Cancers (Basel) in 2019. PMID: 31878324

14 / 14
Anti-Oct4 antibody [GT486] used in Immunoprecipitation (IP). GTX627419
Anti-Oct4 antibody [GT486] used in Western Blot (WB). GTX627419
Anti-Oct4 antibody [GT486] used in Immunocytochemistry/ Immunofluorescence (ICC/IF). GTX627419
Anti-Oct4 antibody [GT486] used in Western Blot (WB). GTX627419
Anti-Oct4 antibody [GT486] used in Western Blot (WB). GTX627419
Anti-Oct4 antibody [GT486] used in Flow cytometry (FCM). GTX627419
Anti-Oct4 antibody [GT486] used in Western Blot (WB). GTX627419
Anti-Oct4 antibody [GT486] used in IHC (Paraffin sections) (IHC-P). GTX627419
Anti-Oct4 antibody [GT486] used in Western Blot (WB). GTX627419
Anti-Oct4 antibody [GT486] used in IHC (Paraffin sections) (IHC-P). GTX627419
Anti-Oct4 antibody [GT486] used in IHC (Paraffin sections) (IHC-P). GTX627419
Anti-Oct4 antibody [GT486] used in Immunocytochemistry/ Immunofluorescence (ICC/IF). GTX627419
Anti-Oct4 antibody [GT486] used in Western Blot (WB). GTX627419
Anti-Oct4 antibody [GT486] used in Western Blot (WB). GTX627419
  • Host
    Mouse
  • Clonality
    Monoclonal
  • Clone Name
    GT486
  • Isotype
    IgG2a
  • Applications
    WB ICC/IF IHC-P FCM IP
  • Reactivity
    Human, Mouse
See all Oct4 products