Orai1 antibody [6D11A11]

Cat. No. GTX17289
Cat. No.  GTX17289
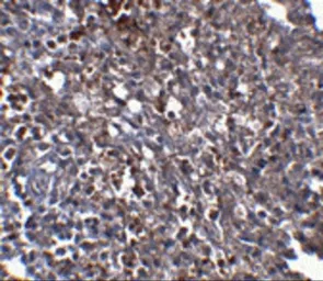
Anti-Orai1 antibody [6D11A11] used in IHC (Paraffin sections) (IHC-P). GTX17289
GTX17289 IHC-P Image

IHC-P analysis of human spleen tissue using GTX17289 Orai1 antibody [6D11A11].
Working concentration : 5 μg/ml

1 / 4
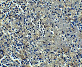
Anti-Orai1 antibody [6D11A11] used in IHC (Paraffin sections) (IHC-P). GTX17289
GTX17289 IHC-P Image

IHC-P analysis of human spleen tissue using GTX17289 Orai1 antibody [6D11A11].
Working concentration : 2.5 μg/ml

2 / 4
Anti-Orai1 antibody [6D11A11] used in Western Blot (WB). GTX17289
GTX17289 WB Image

WB analysis of human spleen tissue lysate using GTX17289 Orai1 antibody [6D11A11].
Working concentration : (A) 1 and (B) 2 μg/ml

3 / 4
Anti-Orai1 antibody [6D11A11] used in IHC (Paraffin sections) (IHC-P). GTX17289
GTX17289 IHC-P Image

IHC-P analysis of human spleen tissue using GTX17289 Orai1 antibody [6D11A11].
Working concentration : 20 μg/ml

4 / 4
Anti-Orai1 antibody [6D11A11] used in IHC (Paraffin sections) (IHC-P). GTX17289
Anti-Orai1 antibody [6D11A11] used in IHC (Paraffin sections) (IHC-P). GTX17289
Anti-Orai1 antibody [6D11A11] used in Western Blot (WB). GTX17289
Anti-Orai1 antibody [6D11A11] used in IHC (Paraffin sections) (IHC-P). GTX17289
  • Host
    Mouse
  • Clonality
    Monoclonal
  • Clone Name
    6D11A11
  • Isotype
    IgG2b
  • Applications
    WB IHC-P ELISA
  • Reactivity
    Human, Mouse, Rat
See all Orai1 products