Orai1 antibody

Cat. No. GTX85048
Cat. No.  GTX85048
Anti-Orai1 antibody used in IHC (Paraffin sections) (IHC-P). GTX85048
GTX85048 IHC-P Image

IHC-P analysis of human ovary tissue using GTX85048 Orai1 antibody.
Red : Primary antibody
Blue : DAPI
Dilution : 20 μg/ml

1 / 4
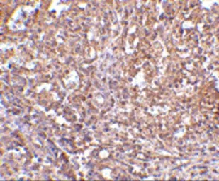
Anti-Orai1 antibody used in IHC (Paraffin sections) (IHC-P). GTX85048
GTX85048 IHC-P Image

IHC-P analysis of human spleen tissue using GTX85048 Orai1 antibody.
Working concentration : 2.5 μg/ml

2 / 4
Anti-Orai1 antibody used in Western Blot (WB). GTX85048
GTX85048 WB Image

WB analysis of human ovary tissue lysate using GTX85048 Orai1 antibody.
Working concentration : (A) 0.5, (B) 1, and (C) 2 μg/ml

3 / 4
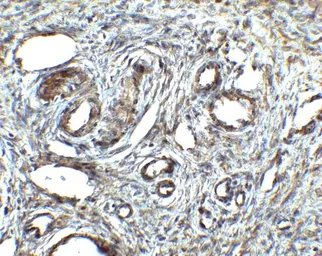
Anti-Orai1 antibody used in IHC (Paraffin sections) (IHC-P). GTX85048
GTX85048 IHC-P Image

IHC-P analysis of human ovary tissue using GTX85048 Orai1 antibody.
Working concentration : 2.5 μg/ml

4 / 4
Anti-Orai1 antibody used in IHC (Paraffin sections) (IHC-P). GTX85048
Anti-Orai1 antibody used in IHC (Paraffin sections) (IHC-P). GTX85048
Anti-Orai1 antibody used in Western Blot (WB). GTX85048
Anti-Orai1 antibody used in IHC (Paraffin sections) (IHC-P). GTX85048
  • Host
    Rabbit
  • Clonality
    Polyclonal
  • Isotype
    IgG
  • Applications
    WB IHC-P ELISA
  • Reactivity
    Human, Mouse
See all Orai1 products