PABP antibody

Cat. No. GTX113954
Cat. No.  GTX113954
Anti-PABP antibody used in Western Blot (WB). GTX113954
GTX113954 WB Image

Various whole cell extracts (30 μg) were separated by 7.5% SDS-PAGE, and the membrane was blotted with PABP antibody (GTX113954) diluted at 1:1000. The HRP-conjugated anti-rabbit IgG antibody (GTX213110-01) was used to detect the primary antibody.

1 / 9
Anti-PABP antibody used in IHC (Paraffin sections) (IHC-P). GTX113954
GTX113954 IHC-P Image

PABP antibody detects PABP protein at cytoplasm by immunohistochemical analysis.
Sample: Paraffin-embedded mouse testis.
PABP stained by PABP antibody (GTX113954) diluted at 1:500.
Antigen Retrieval: Citrate buffer, pH 6.0, 15 min

2 / 9
Anti-PABP antibody used in Immunocytochemistry/ Immunofluorescence (ICC/IF). GTX113954
GTX113954 ICC/IF Image

PABP antibody detects PABP protein at cytoplasm by immunofluorescent analysis.
Sample: H1299 cells were fixed in 4% paraformaldehyde at RT for 15 min.
Green: PABP protein stained by PABP antibody (GTX113954) diluted at 1:500.
Blue: Hoechst 33342 staining.

3 / 9
Anti-PABP antibody used in Western Blot (WB). GTX113954
GTX113954 WB Image

Various whole cell extracts (30 μg) were separated by 7.5% SDS-PAGE, and the membrane was blotted with PABP antibody (GTX113954) diluted at 1:1000. The HRP-conjugated anti-rabbit IgG antibody (GTX213110-01) was used to detect the primary antibody.

4 / 9
Anti-PABP antibody used in IHC (Paraffin sections) (IHC-P). GTX113954
GTX113954 IHC-P Image

PABP antibody detects PABP protein at cytosol on rat hind brain by immunohistochemical analysis.
Sample: Paraffin-embedded rat hind brain.
PABP antibody (GTX113954) dilution: 1:500.

Antigen Retrieval: Trilogy™ (EDTA based, pH 8.0) buffer, 15min

5 / 9
Anti-PABP antibody used in IHC (Paraffin sections) (IHC-P). GTX113954
GTX113954 IHC-P Image

PABP antibody detects PABP protein at cytosol on mouse middle brain by immunohistochemical analysis.
Sample: Paraffin-embedded mouse middle brain.
PABP antibody (GTX113954) dilution: 1:500.

Antigen Retrieval: Trilogy™ (EDTA based, pH 8.0) buffer, 15min

6 / 9
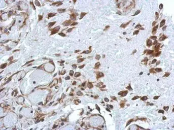
Anti-PABP antibody used in IHC (Paraffin sections) (IHC-P). GTX113954
GTX113954 IHC-P Image

Immunohistochemical analysis of paraffin-embedded human hepatoma, using PABP(GTX113954) antibody at 1:500 dilution.
Antigen Retrieval: Trilogy™ (EDTA based, pH 8.0) buffer, 15min

7 / 9
Anti-PABP antibody used in Western Blot (WB). GTX113954
GTX113954 WB Image

Various whole cell extracts (30 μg) were separated by 7.5% SDS-PAGE, and the membrane was blotted with PABP antibody (GTX113954) diluted at 1:1000. The HRP-conjugated anti-rabbit IgG antibody (GTX213110-01) was used to detect the primary antibody.

8 / 9
Anti-PABP antibody used in IHC (Paraffin sections) (IHC-P). GTX113954
GTX113954 IHC-P Image

PABP antibody detects PABP protein at cytosol on mouse testis by immunohistochemical analysis.
Sample: Paraffin-embedded mouse testis.
PABP antibody (GTX113954) dilution: 1:500.

Antigen Retrieval: Trilogy™ (EDTA based, pH 8.0) buffer, 15min

9 / 9
Anti-PABP antibody used in Western Blot (WB). GTX113954
Anti-PABP antibody used in IHC (Paraffin sections) (IHC-P). GTX113954
Anti-PABP antibody used in Immunocytochemistry/ Immunofluorescence (ICC/IF). GTX113954
Anti-PABP antibody used in Western Blot (WB). GTX113954
Anti-PABP antibody used in IHC (Paraffin sections) (IHC-P). GTX113954
Anti-PABP antibody used in IHC (Paraffin sections) (IHC-P). GTX113954
Anti-PABP antibody used in IHC (Paraffin sections) (IHC-P). GTX113954
Anti-PABP antibody used in Western Blot (WB). GTX113954
Anti-PABP antibody used in IHC (Paraffin sections) (IHC-P). GTX113954
  • Host
    Rabbit
  • Clonality
    Polyclonal
  • Isotype
    IgG
  • Applications
    WB ICC/IF IHC-P
  • Reactivity
    Human, Mouse, Rat
See all PABP products