PACS2 antibody

Cat. No. GTX17244
Cat. No.  GTX17244
Anti-PACS2 antibody used in Western Blot (WB). GTX17244
GTX17244 WB Image

WB analysis of mouse brain tissue lysate using GTX17244 PACS2 antibody.
Working concentration : 1 μg/ml

1 / 3
Anti-PACS2 antibody used in IHC (Paraffin sections) (IHC-P). GTX17244
GTX17244 IHC-P Image

IHC-P analysis of mouse brain tissue using GTX17244 PACS2 antibody.
Working concentration : 20 μg/ml

2 / 3
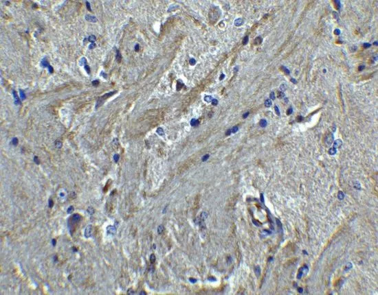
Anti-PACS2 antibody used in IHC (Paraffin sections) (IHC-P). GTX17244
GTX17244 IHC-P Image

IHC-P analysis of mouse brain tissue using GTX17244 PACS2 antibody.
Working concentration : 5 μg/ml

3 / 3
Anti-PACS2 antibody used in Western Blot (WB). GTX17244
Anti-PACS2 antibody used in IHC (Paraffin sections) (IHC-P). GTX17244
Anti-PACS2 antibody used in IHC (Paraffin sections) (IHC-P). GTX17244
  • Host
    Rabbit
  • Clonality
    Polyclonal
  • Isotype
    IgG
  • Applications
    WB IHC-P ELISA
  • Reactivity
    Human, Mouse, Rat
See all PACS2 products