PAK6 antibody

Cat. No. GTX78145
Cat. No.  GTX78145
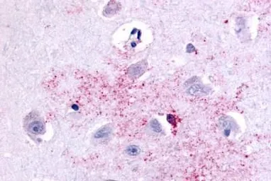
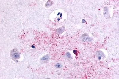
Anti-PAK6 antibody used in IHC (Paraffin sections) (IHC-P). GTX78145
GTX78145 IHC-P Image

IHC-P analysis of human brain, neurons and glia tissue using GTX78145 PAK6 antibody.
Antigen retrieval : Heat-induced antigen retrieval

1 / 1
Anti-PAK6 antibody used in IHC (Paraffin sections) (IHC-P). GTX78145
  • Host
    Rabbit
  • Clonality
    Polyclonal
  • Isotype
    IgG
  • Applications
    IHC-P
  • Reactivity
    Human
See all PAK6 products