PALMD antibody

Cat. No. GTX32160
Cat. No.  GTX32160
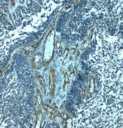
Anti-PALMD antibody used in IHC (Paraffin sections) (IHC-P). GTX32160
GTX32160 IHC-P Image

IHC-P analysis of human bladder tissue using GTX32160 PALMD antibody.
Working concentration : 2.5 μg/ml

1 / 2
Anti-PALMD antibody used in Western Blot (WB). GTX32160
GTX32160 WB Image

WB analysis of human bladder tissue lysate using GTX32160 PALMD antibody.
Working concentration : 1 μg/ml

2 / 2
Anti-PALMD antibody used in IHC (Paraffin sections) (IHC-P). GTX32160
Anti-PALMD antibody used in Western Blot (WB). GTX32160
  • Host
    Rabbit
  • Clonality
    Polyclonal
  • Isotype
    IgG
  • Applications
    WB IHC-P ELISA
  • Reactivity
    Human
See all PALMD products