PARP antibody [GT6212]

Cat. No. GTX628836
Cat. No.  GTX628836
Anti-PARP antibody [GT6212] used in Western Blot (WB). GTX628836
GTX628836 WB Image

Untreated (–) and treated (+) HCT-116 whole cell extract (30 μg) were separated by 7.5% SDS-PAGE, and the membrane was blotted with PARP antibody [GT6212] (GTX628836) diluted at 1:1000. The HRP-conjugated anti-mouse IgG antibody (GTX213111-01) was used to detect the primary antibody.

1 / 9
Anti-PARP antibody [GT6212] used in Western Blot (WB). GTX628836
GTX628836 WB Image

Non-transfected (–) and transfected (+) 293T whole cell extracts (30 μg) were separated by 7.5% SDS-PAGE, and the membrane was blotted with PARP antibody [GT6212] (GTX628836) diluted at 1:1000.

2 / 9
Anti-PARP antibody [GT6212] used in IHC (Paraffin sections) (IHC-P). GTX628836
GTX628836 IHC-P Image

PARP antibody [GT6212] detects PARP protein by immunohistochemical analysis.
Sample: Paraffin-embedded mouse testis.
PARP stained by PARP antibody [GT6212] (GTX628836) diluted at 1:500.
Antigen Retrieval: Citrate buffer, pH 6.0, 15 min

3 / 9
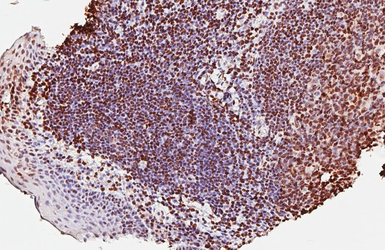
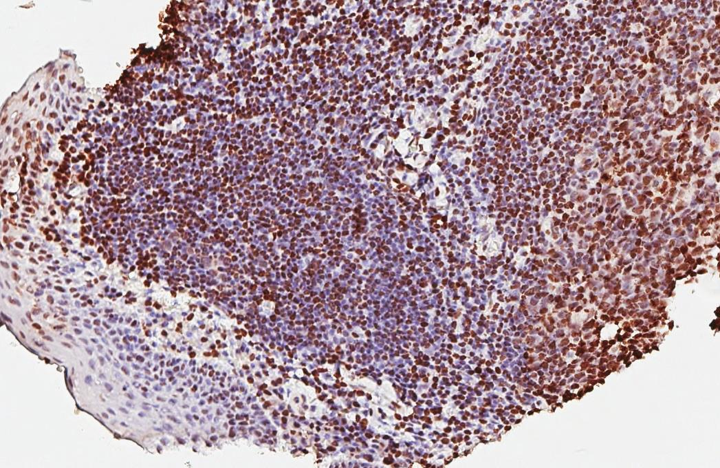
Anti-PARP antibody [GT6212] used in IHC (Paraffin sections) (IHC-P). GTX628836
GTX628836 IHC-P Image

PARP antibody [GT6212] detects PARP protein by immunohistochemical analysis.
Sample: Paraffin-embedded human tonsil.
PARP stained by PARP antibody [GT6212] (GTX628836) diluted at 1:500.
Antigen Retrieval: Citrate buffer, pH 6.0, 15 min

4 / 9
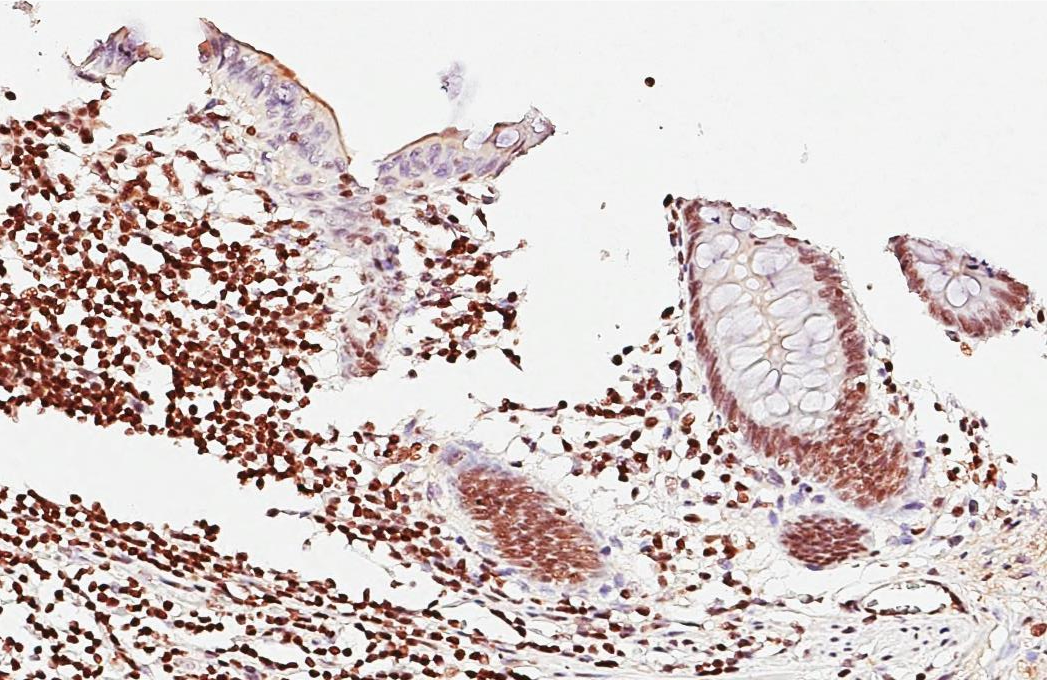
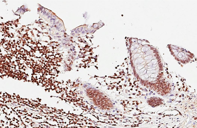
Anti-PARP antibody [GT6212] used in IHC (Paraffin sections) (IHC-P). GTX628836
GTX628836 IHC-P Image

PARP antibody [GT6212] detects PARP protein by immunohistochemical analysis.
Sample: Paraffin-embedded human appendix.
PARP stained by PARP antibody [GT6212] (GTX628836) diluted at 1:500.
Antigen Retrieval: Citrate buffer, pH 6.0, 15 min

5 / 9
Anti-PARP antibody [GT6212] used in Western Blot (WB). GTX628836
GTX628836 WB Image

Non-transfected (–) and transfected (+) 293T whole cell extracts (30 μg) were separated by 7.5% SDS-PAGE, and the membrane was blotted with PARP antibody [GT6212] (GTX628836) diluted at 1:10000. The HRP-conjugated anti-mouse IgG antibody (GTX213111-01) was used to detect the primary antibody.

6 / 9
Anti-PARP antibody [GT6212] used in Western Blot (WB). GTX628836
GTX628836 WB Image

Various whole cell extracts (30 μg) were separated by 5% SDS-PAGE, and the membrane was blotted with PARP antibody [GT6212] (GTX628836) diluted at 1:2000. The HRP-conjugated anti-mouse IgG antibody (GTX213111-01) was used to detect the primary antibody.

7 / 9
Anti-PARP antibody [GT6212] used in Western Blot (WB). GTX628836
GTX628836 WB Image

PARP1 antibody [GT6212] detects PARP1 protein by Western blot analysis.
A. 30 μg HCT116 whole cell lysate/extract (untreated)
B. 30 μg HCT116 whole cell lysate/extract (30μM Cisplatin treatment for 24hr)
7.5 % SDS-PAGE
PARP1 antibody [GT6212] (GTX628836) dilution: 1:1000

8 / 9
Anti-PARP antibody [GT6212] used in Western Blot (WB). GTX628836
GTX628836 WB Image

Various whole cell extracts (30 μg) were separated by 5% SDS-PAGE, and the membrane was blotted with PARP antibody [GT6212] (GTX628836) diluted at 1:1000. The HRP-conjugated anti-mouse IgG antibody (GTX213111-01) was used to detect the primary antibody.

9 / 9
Anti-PARP antibody [GT6212] used in Western Blot (WB). GTX628836
Anti-PARP antibody [GT6212] used in Western Blot (WB). GTX628836
Anti-PARP antibody [GT6212] used in IHC (Paraffin sections) (IHC-P). GTX628836
Anti-PARP antibody [GT6212] used in IHC (Paraffin sections) (IHC-P). GTX628836
Anti-PARP antibody [GT6212] used in IHC (Paraffin sections) (IHC-P). GTX628836
Anti-PARP antibody [GT6212] used in Western Blot (WB). GTX628836
Anti-PARP antibody [GT6212] used in Western Blot (WB). GTX628836
Anti-PARP antibody [GT6212] used in Western Blot (WB). GTX628836
Anti-PARP antibody [GT6212] used in Western Blot (WB). GTX628836
  • Host
    Mouse
  • Clonality
    Monoclonal
  • Clone Name
    GT6212
  • Isotype
    IgG2b
  • Applications
    WB IHC-P IP
  • Reactivity
    Human, Mouse, Rat
See all PARP products