PARP antibody [HL1364]

Cat. No. GTX636804
Cat. No.  GTX636804
Anti-PARP antibody [HL1364] used in Western Blot (WB). GTX636804
GTX636804 WB Image

Untreated (–) and treated (+) HCT-116 whole cell extract (30 μg) were separated by 7.5% SDS-PAGE, and the membrane was blotted with PARP antibody [HL1364] (GTX636804) diluted at 1:10000. The HRP-conjugated anti-rabbit IgG antibody (GTX213110-01) was used to detect the primary antibody.

1 / 9
Anti-PARP antibody [HL1364] used in Western Blot (WB). GTX636804
GTX636804 WB Image

Non-transfected (–) and transfected (+) 293T whole cell extracts (30 μg) were separated by 7.5% SDS-PAGE, and the membrane was blotted with PARP antibody [HL1364] (GTX636804) diluted at 1:10000. The HRP-conjugated anti-rabbit IgG antibody (GTX213110-01) was used to detect the primary antibody.

2 / 9
Anti-PARP antibody [HL1364] used in Western Blot (WB). GTX636804
GTX636804 WB Image

Various whole cell extracts (30 μg) were separated by 7.5% SDS-PAGE, and the membranes were blotted with PARP antibody [HL1364] (GTX636804) diluted at 1:10000 and competitor's antibody (# Highly Cited Antibody) diluted at 1:1000. The HRP-conjugated anti-rabbit IgG antibody (GTX213110-01) was used to detect the primary antibody.

*The competitor is not affiliated with GeneTex and does not endorse this product.

3 / 9
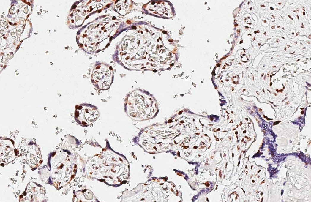
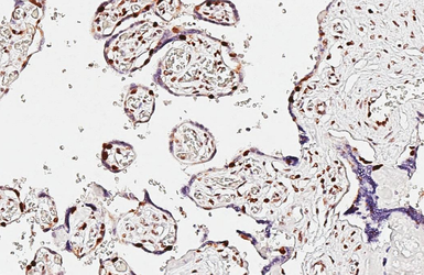
Anti-PARP antibody [HL1364] used in IHC (Paraffin sections) (IHC-P). GTX636804
GTX636804 IHC-P Image

PARP antibody [HL1364] detects PARP protein by immunohistochemical analysis.
Sample: Paraffin-embedded human placenta.
PARP stained by PARP antibody [HL1364] (GTX636804) diluted at 1:250.
Antigen Retrieval: Tris-EDTA buffer, pH 9.0, 15 min

4 / 9
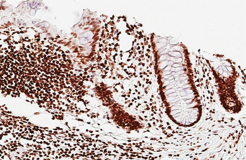
Anti-PARP antibody [HL1364] used in IHC (Paraffin sections) (IHC-P). GTX636804
GTX636804 IHC-P Image

PARP antibody [HL1364] detects PARP protein by immunohistochemical analysis.
Sample: Paraffin-embedded human appendix.
PARP stained by PARP antibody [HL1364] (GTX636804) diluted at 1:250.
Antigen Retrieval: Tris-EDTA buffer, pH 9.0, 15 min

5 / 9
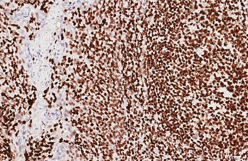
Anti-PARP antibody [HL1364] used in IHC (Paraffin sections) (IHC-P). GTX636804
GTX636804 IHC-P Image

PARP antibody [HL1364] detects PARP protein by immunohistochemical analysis.
Sample: Paraffin-embedded human tonsil.
PARP stained by PARP antibody [HL1364] (GTX636804) diluted at 1:250.
Antigen Retrieval: Tris-EDTA buffer, pH 9.0, 15 min

6 / 9
Anti-PARP antibody [HL1364] used in Western Blot (WB). GTX636804
GTX636804 WB Image

Non-transfected (–) and transfected (+) 293T whole cell extracts (30 μg) were separated by 7.5% SDS-PAGE, and the membrane was blotted with PARP antibody [HL1364] (GTX636804) diluted at 1:100000. The HRP-conjugated anti-rabbit IgG antibody (GTX213110-01) was used to detect the primary antibody.

7 / 9
Anti-PARP antibody [HL1364] used in Western Blot (WB). GTX636804
GTX636804 WB Image

Whole cell extract (30 μg) was separated by 7.5% SDS-PAGE, and the membrane was blotted with PARP antibody [HL1364] (GTX636804) diluted at 1:1000. The HRP-conjugated anti-rabbit IgG antibody (GTX213110-01) was used to detect the primary antibody, and the signal was developed with Trident ECL plus-Enhanced.

8 / 9
Anti-PARP antibody [HL1364] used in Immunocytochemistry/ Immunofluorescence (ICC/IF). GTX636804
GTX636804 ICC/IF Image

PARP antibody [HL1364] detects PARP protein by immunofluorescent analysis.
Sample: 293T cells were fixed in 4% paraformaldehyde at RT for 15 min.
Green: PARP stained by PARP antibody [HL1364] (GTX636804) diluted at 1:500.
Red: alpha Tubulin, a cytoskeleton marker, stained by alpha Tubulin antibody [GT114] (GTX628802) diluted at 1:1000.
Blue: Fluoroshield with DAPI (GTX30920).

9 / 9
Anti-PARP antibody [HL1364] used in Western Blot (WB). GTX636804
Anti-PARP antibody [HL1364] used in Western Blot (WB). GTX636804
Anti-PARP antibody [HL1364] used in Western Blot (WB). GTX636804
Anti-PARP antibody [HL1364] used in IHC (Paraffin sections) (IHC-P). GTX636804
Anti-PARP antibody [HL1364] used in IHC (Paraffin sections) (IHC-P). GTX636804
Anti-PARP antibody [HL1364] used in IHC (Paraffin sections) (IHC-P). GTX636804
Anti-PARP antibody [HL1364] used in Western Blot (WB). GTX636804
Anti-PARP antibody [HL1364] used in Western Blot (WB). GTX636804
Anti-PARP antibody [HL1364] used in Immunocytochemistry/ Immunofluorescence (ICC/IF). GTX636804
  • Host
    Rabbit
  • Clonality
    Monoclonal
  • Clone Name
    HL1364
  • Isotype
    IgG
  • Applications
    WB ICC/IF IHC-P FCM IP
  • Reactivity
    Human, Mouse
See all PARP products