PARS2 antibody [C1C3]

Cat. No. GTX120510
Cat. No.  GTX120510
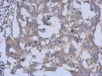
Anti-PARS2 antibody [C1C3] used in IHC (Paraffin sections) (IHC-P). GTX120510
GTX120510 IHC-P Image

Immunohistochemical analysis of paraffin-embedded human breast cancer, using PARS2(GTX120510) antibody at 1:500 dilution.
Antigen Retrieval: Trilogy™ (EDTA based, pH 8.0) buffer, 15min

1 / 3
Anti-PARS2 antibody [C1C3] used in Immunocytochemistry/ Immunofluorescence (ICC/IF). GTX120510
GTX120510 ICC/IF Image

Immunofluorescence analysis of methanol-fixed A431, using PARS2(GTX120510) antibody at 1:500 dilution.

2 / 3
Anti-PARS2 antibody [C1C3] used in Western Blot (WB). GTX120510
GTX120510 WB Image

Sample (30 ug of whole cell lysate)
A: Jurkat
10% SDS PAGE
GTX120510 diluted at 1:2000

3 / 3
Anti-PARS2 antibody [C1C3] used in IHC (Paraffin sections) (IHC-P). GTX120510
Anti-PARS2 antibody [C1C3] used in Immunocytochemistry/ Immunofluorescence (ICC/IF). GTX120510
Anti-PARS2 antibody [C1C3] used in Western Blot (WB). GTX120510
  • Host
    Rabbit
  • Clonality
    Polyclonal
  • Isotype
    IgG
  • Applications
    WB ICC/IF IHC-P
  • Reactivity
    Human
See all PARS2 products