PAX2 antibody

Cat. No. GTX04786
Cat. No.  GTX04786
Anti-PAX2 antibody used in Western Blot (WB). GTX04786
GTX04786 WB Image

WB analysis of various samples using GTX04786 PAX2 antibody.
Lane 1 : Mouse uterus tissue lysate
Lane 2 : Mouse brain tissue lysate
Dilution : 1:200

1 / 5
Anti-PAX2 antibody used in Western Blot (WB). GTX04786
GTX04786 WB Image

WB analysis of various samples using GTX04786 PAX2 antibody.
Lane 1 : Mouse kidney tissue lysate
Lane 2 : Mouse Cerebellum tissue lysate
Lane 3 : Rat Cerebellum tissue lysate
Dilution : 1:1000

2 / 5
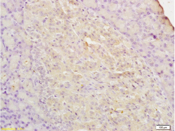
Anti-PAX2 antibody used in IHC (Paraffin sections) (IHC-P). GTX04786
GTX04786 IHC-P Image

IHC-P analysis of mouse pancreas tissue using GTX04786 PAX2 antibody.
Dilution : 1:200

3 / 5
Anti-PAX2 antibody used in Flow cytometry (FCM). GTX04786
GTX04786 FCM Image

FACS analysis of 4% PFA-fixed HepG2 cells using GTX04786 PAX2 antibody.
Green : Primary antibody
Blue : Isotype control
Black : Unlabeled samples
Permeabilization : 90% ice-cold methanol
Dilution : 1:100

4 / 5
Anti-PAX2 antibody used in IHC (Paraffin sections) (IHC-P). GTX04786
GTX04786 IHC-P Image

IHC-P analysis of rat lung tissue using GTX04786 PAX2 antibody.
Dilution : 1:200

5 / 5
Anti-PAX2 antibody used in Western Blot (WB). GTX04786
Anti-PAX2 antibody used in Western Blot (WB). GTX04786
Anti-PAX2 antibody used in IHC (Paraffin sections) (IHC-P). GTX04786
Anti-PAX2 antibody used in Flow cytometry (FCM). GTX04786
Anti-PAX2 antibody used in IHC (Paraffin sections) (IHC-P). GTX04786
  • Host
    Rabbit
  • Clonality
    Polyclonal
  • Isotype
    IgG
  • Applications
    WB ICC/IF IHC-P FCM
  • Reactivity
    Human, Mouse, Rat, Sheep
See all PAX2 products