PC4 antibody

Cat. No. GTX65860
Cat. No.  GTX65860
Anti-PC4 antibody used in Immunoprecipitation (IP). GTX65860
GTX65860 IP Image

IP analysis of HL60 cell lysate using GTX65860 PC4 antibody.
Antibody amount : 3μg / 150μg lysate
Dilution : 1:500

1 / 4
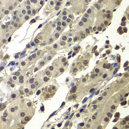
Anti-PC4 antibody used in IHC (Paraffin sections) (IHC-P). GTX65860
GTX65860 IHC-P Image

IHC-P analysis of human stomach tissue using GTX65860 PC4 antibody.
Dilution : 1:100

2 / 4
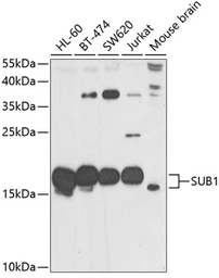
Anti-PC4 antibody used in Western Blot (WB). GTX65860
GTX65860 WB Image

WB analysis of various sample lysates using GTX65860 PC4 antibody.
Dilution : 1:1000
Loading : 25μg per lane

3 / 4
Anti-PC4 antibody used in Immunocytochemistry/ Immunofluorescence (ICC/IF). GTX65860
GTX65860 ICC/IF Image

ICC/IF analysis of A549 cells using GTX65860 PC4 antibody.

4 / 4
Anti-PC4 antibody used in Immunoprecipitation (IP). GTX65860
Anti-PC4 antibody used in IHC (Paraffin sections) (IHC-P). GTX65860
Anti-PC4 antibody used in Western Blot (WB). GTX65860
Anti-PC4 antibody used in Immunocytochemistry/ Immunofluorescence (ICC/IF). GTX65860
  • Host
    Rabbit
  • Clonality
    Polyclonal
  • Isotype
    IgG
  • Applications
    WB ICC/IF IHC-P IP
  • Reactivity
    Human, Mouse
See all PC4 products