PCM1 antibody

Cat. No. GTX131724
Cat. No.  GTX131724
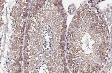
Anti-PCM1 antibody used in IHC (Paraffin sections) (IHC-P). GTX131724
GTX131724 IHC-P Image

PCM-1 antibody detects PCM-1 protein by immunohistochemical analysis.
Sample: Paraffin-embedded mouse testis.
PCM-1 stained by PCM-1 antibody (GTX131724) diluted at 1:500.
Antigen Retrieval: Citrate buffer, pH 6.0, 15 min

1 / 3
Anti-PCM1 antibody used in Western Blot (WB). GTX131724
GTX131724 WB Image

Whole cell extract (30 μg) was separated by 5% SDS-PAGE, and the membrane was blotted with PCM1 antibody (GTX131724) diluted at 1:1000. The HRP-conjugated anti-rabbit IgG antibody (GTX213110-01) was used to detect the primary antibody.

2 / 3
Anti-PCM1 antibody used in Western Blot (WB). GTX131724
GTX131724 WB Image

Various whole cell extracts (30 μg) were separated by 5% SDS-PAGE, and the membrane was blotted with PCM-1 antibody (GTX131724) diluted at 1:1000.

3 / 3
Anti-PCM1 antibody used in IHC (Paraffin sections) (IHC-P). GTX131724
Anti-PCM1 antibody used in Western Blot (WB). GTX131724
Anti-PCM1 antibody used in Western Blot (WB). GTX131724
  • Host
    Rabbit
  • Clonality
    Polyclonal
  • Isotype
    IgG
  • Applications
    WB IHC-P
  • Reactivity
    Human, Mouse
See all PCM1 products