PDE10A antibody [1B2]

Cat. No. GTX83931
Cat. No.  GTX83931
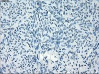
Anti-PDE10A antibody [1B2] used in IHC (Paraffin sections) (IHC-P). GTX83931
GTX83931 IHC-P Image

IHC-P analysis of endometrium tissue using GTX83931 PDE10A antibody [1B2].
Antigen retrieval : Heat-induced epitope retrieval by 10mM citrate buffer, pH6.0, 100ºC for 10min.
Dilution : 1:50

1 / 4
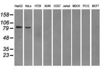
Anti-PDE10A antibody [1B2] used in Western Blot (WB). GTX83931
GTX83931 WB Image

WB analysis of various cell lines using GTX83931 PDE10A antibody [1B2].
Loading : 35 ug per lane

2 / 4
Anti-PDE10A antibody [1B2] used in Western Blot (WB). GTX83931
GTX83931 WB Image

WB analysis of HEK293T cells transfected with PDE10A plasmid (Right) or empty vector (Left) for 48 hrs using GTX83931 PDE10A antibody [1B2].
Loading : 5 ug per lane

3 / 4
Anti-PDE10A antibody [1B2] used in Western Blot (WB). GTX83931
GTX83931 WB Image

WB analysis of various samples using GTX83931 PDE10A antibody [1B2].
Loading : 10 ug per lane
Dilution : 1:200

4 / 4
Anti-PDE10A antibody [1B2] used in IHC (Paraffin sections) (IHC-P). GTX83931
Anti-PDE10A antibody [1B2] used in Western Blot (WB). GTX83931
Anti-PDE10A antibody [1B2] used in Western Blot (WB). GTX83931
Anti-PDE10A antibody [1B2] used in Western Blot (WB). GTX83931
  • Host
    Mouse
  • Clonality
    Monoclonal
  • Clone Name
    1B2
  • Isotype
    IgG1
  • Applications
    WB IHC-P
  • Reactivity
    Human, Mouse
See all PDE10A products