PDE4A antibody [6B6]

Cat. No. GTX83921
Cat. No.  GTX83921
Anti-PDE4A antibody [6B6] used in Immunocytochemistry/ Immunofluorescence (ICC/IF). GTX83921
GTX83921 ICC/IF Image

ICC/IF analysis of COS7 cells transiently transfected with PDE4A plasmid using GTX83921 PDE4A antibody [6B6].

1 / 8
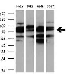
Anti-PDE4A antibody [6B6] used in Western Blot (WB). GTX83921
GTX83921 WB Image

WB analysis of various samples using GTX83921 PDE4A antibody [6B6].
Loading : 10 ug per lane
Dilution : 1:200

2 / 8
Anti-PDE4A antibody [6B6] used in IHC (Paraffin sections) (IHC-P). GTX83921
GTX83921 IHC-P Image

IHC-P analysis of prostate tissue using GTX83921 PDE4A antibody [6B6].
Antigen retrieval : Heat-induced epitope retrieval by 10mM citrate buffer, pH6.0, 100ºC for 10min.
Dilution : 1:50

3 / 8
Anti-PDE4A antibody [6B6] used in Flow cytometry (FCM). GTX83921
GTX83921 FCM Image

FACS analysis of HEK293T cells transfected with either PDE4A plasmid(Red) or empty vector control plasmid(Blue) using GTX83921 PDE4A antibody [6B6].

4 / 8
Anti-PDE4A antibody [6B6] used in IHC (Paraffin sections) (IHC-P). GTX83921
GTX83921 IHC-P Image

IHC-P analysis of liver tissue using GTX83921 PDE4A antibody [6B6].
Antigen retrieval : Heat-induced epitope retrieval by 10mM citrate buffer, pH6.0, 100ºC for 10min.
Dilution : 1:50

5 / 8
Anti-PDE4A antibody [6B6] used in Western Blot (WB). GTX83921
GTX83921 WB Image

WB analysis of HEK293T cells transfected with PDE4A plasmid (Right) or empty vector (Left) for 48 hrs using GTX83921 PDE4A antibody [6B6].
Loading : 5 ug per lane

6 / 8
Anti-PDE4A antibody [6B6] used in Western Blot (WB). GTX83921
GTX83921 WB Image

WB analysis of various cell lines using GTX83921 PDE4A antibody [6B6].
Loading : 10 ug per lane
Dilution : 1:200

7 / 8
Anti-PDE4A antibody [6B6] used in IHC (Paraffin sections) (IHC-P). GTX83921
GTX83921 IHC-P Image

IHC-P analysis of colon tissue using GTX83921 PDE4A antibody [6B6].
Antigen retrieval : Heat-induced epitope retrieval by 10mM citrate buffer, pH6.0, 100ºC for 10min.
Dilution : 1:50

8 / 8
Anti-PDE4A antibody [6B6] used in Immunocytochemistry/ Immunofluorescence (ICC/IF). GTX83921
Anti-PDE4A antibody [6B6] used in Western Blot (WB). GTX83921
Anti-PDE4A antibody [6B6] used in IHC (Paraffin sections) (IHC-P). GTX83921
Anti-PDE4A antibody [6B6] used in Flow cytometry (FCM). GTX83921
Anti-PDE4A antibody [6B6] used in IHC (Paraffin sections) (IHC-P). GTX83921
Anti-PDE4A antibody [6B6] used in Western Blot (WB). GTX83921
Anti-PDE4A antibody [6B6] used in Western Blot (WB). GTX83921
Anti-PDE4A antibody [6B6] used in IHC (Paraffin sections) (IHC-P). GTX83921
  • Host
    Mouse
  • Clonality
    Monoclonal
  • Clone Name
    6B6
  • Isotype
    IgG1
  • Applications
    WB ICC/IF IHC-P FCM
  • Reactivity
    Human, Mouse, Monkey
See all PDE4A products