PDI antibody [RL77]

Cat. No. GTX25484
Cat. No.  GTX25484
Anti-PDI antibody [RL77] used in Flow cytometry (FCM). GTX25484
GTX25484 FCM Image

FACS analysis of K562 cells using GTX25484 PDI antibody [RL77] compared to an isotype control (blue).
Dilution : 0.25 ug/test for 60 min at room temperature
Fixation : 2% paraformaldehyde

1 / 12
Anti-PDI antibody [RL77] used in Immunocytochemistry/ Immunofluorescence (ICC/IF). GTX25484
GTX25484 ICC/IF Image

ICC/IF analysis of rat epithelial cells using GTX25484 PDI antibody [RL77].

2 / 12
Anti-PDI antibody [RL77] used in Flow cytometry (FCM). GTX25484
GTX25484 FCM Image

FACS analysis of 3T3 cells using GTX25484 PDI antibody [RL77] compared to an isotype control (blue).
Dilution : 0.5 ug/test for 60 min at room temperature
Fixation : 2% paraformaldehyde

3 / 12
Anti-PDI antibody [RL77] used in Immunocytochemistry/ Immunofluorescence (ICC/IF). GTX25484
GTX25484 ICC/IF Image

ICC/IF analysis of MDCK cells using GTX25484 PDI antibody [RL77].
Green : Primary antibody
Blue : cell nucleus
Permeabilization : 0.1% Triton X-100
Dilution : 1:100 in blocking buffer for at least 1 hour at room temperature

4 / 12
Anti-PDI antibody [RL77] used in Western Blot (WB). GTX25484
GTX25484 WB Image

WB analysis of 25 ug of HepG2 (Lane 1), Hela (Lane 2) and NIH-3T3 (Lane 3) cell lysates using GTX25484 PDI antibody [RL77].
Dilution : 1:1000

5 / 12
Anti-PDI antibody [RL77] used in Flow cytometry (FCM). GTX25484
GTX25484 FCM Image

FACS analysis of Hela cells using GTX25484 PDI antibody [RL77] compared to an isotype control (blue).
Dilution : 0.25 ug/test for 60 min at room temperature
Fixation : 2% paraformaldehyde

6 / 12
Anti-PDI antibody [RL77] used in Immunocytochemistry/ Immunofluorescence (ICC/IF). GTX25484
GTX25484 ICC/IF Image

ICC/IF analysis of HMVEC Cells using GTX25484 PDI antibody [RL77].
Green : Primary antibody
Blue : cell nucleus

7 / 12
Anti-PDI antibody [RL77] used in Immunocytochemistry/ Immunofluorescence (ICC/IF). GTX25484
GTX25484 ICC/IF Image

ICC/IF analysis of NS-1 Cells using GTX25484 PDI antibody [RL77].
Green : Primary antibody
Blue : cell nucleus

8 / 12
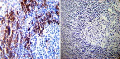
Anti-PDI antibody [RL77] used in IHC (Paraffin sections) (IHC-P). GTX25484
GTX25484 IHC-P Image

IHC-P analysis of human tonsil tissue using GTX25484 PDI antibody [RL77].
Left : Primary antibody
Right : Negative control without primary antibody
Antigen retrieval : heat induced antigen retrieval was performed using 10mM sodium citrate (pH6.0) buffer, microwaved for 8-15 minutes
Dilution : 1:200

9 / 12
Anti-PDI antibody [RL77] used in IHC (Paraffin sections) (IHC-P). GTX25484
GTX25484 IHC-P Image

IHC-P analysis of human colon carcinoma tissue using GTX25484 PDI antibody [RL77].
Left : Primary antibody
Right : Negative control without primary antibody
Antigen retrieval : heat induced antigen retrieval was performed using 10mM sodium citrate (pH6.0) buffer, microwaved for 8-15 minutes
Dilution : 1:20

10 / 12
Anti-PDI antibody [RL77] used in Immunocytochemistry/ Immunofluorescence (ICC/IF). GTX25484
GTX25484 ICC/IF Image

ICC/IF analysis of A549 cells using GTX25484 PDI antibody [RL77].
Green : Primary antibody
Blue : cell nucleus

11 / 12
Anti-PDI antibody [RL77] used in IHC (Paraffin sections) (IHC-P). GTX25484
GTX25484 IHC-P Image

IHC-P analysis of human liver tissue using GTX25484 PDI antibody [RL77].
Left : Primary antibody
Right : Negative control without primary antibody
Antigen retrieval : heat induced antigen retrieval was performed using 10mM sodium citrate (pH6.0) buffer, microwaved for 8-15 minutes
Dilution : 1:200

12 / 12
Anti-PDI antibody [RL77] used in Flow cytometry (FCM). GTX25484
Anti-PDI antibody [RL77] used in Immunocytochemistry/ Immunofluorescence (ICC/IF). GTX25484
Anti-PDI antibody [RL77] used in Flow cytometry (FCM). GTX25484
Anti-PDI antibody [RL77] used in Immunocytochemistry/ Immunofluorescence (ICC/IF). GTX25484
Anti-PDI antibody [RL77] used in Western Blot (WB). GTX25484
Anti-PDI antibody [RL77] used in Flow cytometry (FCM). GTX25484
Anti-PDI antibody [RL77] used in Immunocytochemistry/ Immunofluorescence (ICC/IF). GTX25484
Anti-PDI antibody [RL77] used in Immunocytochemistry/ Immunofluorescence (ICC/IF). GTX25484
Anti-PDI antibody [RL77] used in IHC (Paraffin sections) (IHC-P). GTX25484
Anti-PDI antibody [RL77] used in IHC (Paraffin sections) (IHC-P). GTX25484
Anti-PDI antibody [RL77] used in Immunocytochemistry/ Immunofluorescence (ICC/IF). GTX25484
Anti-PDI antibody [RL77] used in IHC (Paraffin sections) (IHC-P). GTX25484
  • Host
    Mouse
  • Clonality
    Monoclonal
  • Clone Name
    RL77
  • Isotype
    IgG2b
  • Applications
    WB ICC/IF IHC-P FCM IP IHC Neutralizing /Inhibition
  • Reactivity
    Human, Mouse, Rat, Dog, Hamster, Pig, Golden Syrian Hamster, Xenopus, Primate
See all PDI products