PECI antibody

Cat. No. GTX122557
Cat. No.  GTX122557
Anti-PECI antibody used in Immunocytochemistry/ Immunofluorescence (ICC/IF). GTX122557
GTX122557 ICC/IF Image

PECI antibody detects PECI protein at Mitochondria by immunofluorescent analysis.
Sample: A431 cells were fixed in 2% paraformaldehyde/culture medium at 37ºC for 30 min.
Green: PECI protein stained by PECI antibody (GTX122557) diluted at 1:500.
Blue: Hoechst 33343 staining.

1 / 3
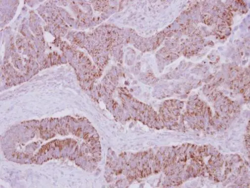
Anti-PECI antibody used in IHC (Paraffin sections) (IHC-P). GTX122557
GTX122557 IHC-P Image

Immunohistochemical analysis of paraffin-embedded human colon carcinoma, using PECI(GTX122557) antibody at 1:250 dilution.
Antigen Retrieval: Trilogy™ (EDTA based, pH 8.0) buffer, 15min

2 / 3
Anti-PECI antibody used in Western Blot (WB). GTX122557
GTX122557 WB Image

Sample (30 ug of whole cell lysate)
A: Raji
10% SDS PAGE
GTX122557 diluted at 1:5000

3 / 3
Anti-PECI antibody used in Immunocytochemistry/ Immunofluorescence (ICC/IF). GTX122557
Anti-PECI antibody used in IHC (Paraffin sections) (IHC-P). GTX122557
Anti-PECI antibody used in Western Blot (WB). GTX122557
  • Host
    Rabbit
  • Clonality
    Polyclonal
  • Isotype
    IgG
  • Applications
    WB ICC/IF IHC-P
  • Reactivity
    Human
See all PECI products