PEPD antibody [1B7]

Cat. No. GTX83909
Cat. No.  GTX83909
Anti-PEPD antibody [1B7] used in Western Blot (WB). GTX83909
GTX83909 WB Image

WB analysis of various samples using GTX83909 PEPD antibody [1B7].
Loading : 10 ug per lane
Dilution : 1:200

1 / 11
Anti-PEPD antibody [1B7] used in IHC (Paraffin sections) (IHC-P). GTX83909
GTX83909 IHC-P Image

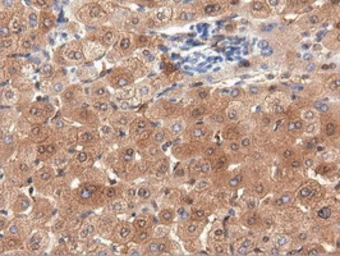
IHC-P analysis of human liver tissue using GTX83909 PEPD antibody [1B7].
Antigen retrieval : Heat-induced epitope retrieval by 10mM citrate buffer, pH6.0, 100ºC for 10min.
Dilution : 1:50

2 / 11
Anti-PEPD antibody [1B7] used in IHC (Paraffin sections) (IHC-P). GTX83909
GTX83909 IHC-P Image

IHC-P analysis of human lymph node tissue using GTX83909 PEPD antibody [1B7].
Antigen retrieval : Heat-induced epitope retrieval by 10mM citrate buffer, pH6.0, 100ºC for 10min.
Dilution : 1:50

3 / 11
Anti-PEPD antibody [1B7] used in IHC (Paraffin sections) (IHC-P). GTX83909
GTX83909 IHC-P Image

IHC-P analysis of human bladder tissue using GTX83909 PEPD antibody [1B7].
Antigen retrieval : Heat-induced epitope retrieval by 10mM citrate buffer, pH6.0, 100ºC for 10min.
Dilution : 1:50

4 / 11
Anti-PEPD antibody [1B7] used in IHC (Paraffin sections) (IHC-P). GTX83909
GTX83909 IHC-P Image

IHC-P analysis of human kidney tissue using GTX83909 PEPD antibody [1B7].
Antigen retrieval : Heat-induced epitope retrieval by 10mM citrate buffer, pH6.0, 100ºC for 10min.
Dilution : 1:50

5 / 11
Anti-PEPD antibody [1B7] used in IHC (Paraffin sections) (IHC-P). GTX83909
GTX83909 IHC-P Image

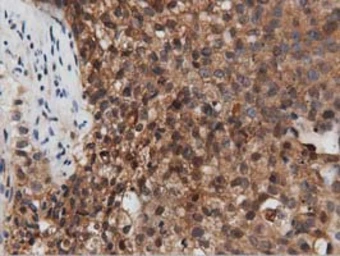
IHC-P analysis of human bladder carcinoma tissue using GTX83909 PEPD antibody [1B7].
Antigen retrieval : Heat-induced epitope retrieval by 10mM citrate buffer, pH6.0, 100ºC for 10min.
Dilution : 1:50

6 / 11
Anti-PEPD antibody [1B7] used in IHC (Paraffin sections) (IHC-P). GTX83909
GTX83909 IHC-P Image

IHC-P analysis of human pancreas carcinoma tissue using GTX83909 PEPD antibody [1B7].
Antigen retrieval : Heat-induced epitope retrieval by 10mM citrate buffer, pH6.0, 100ºC for 10min.
Dilution : 1:50

7 / 11
Anti-PEPD antibody [1B7] used in Flow cytometry (FCM). GTX83909
GTX83909 FCM Image

FACS analysis of HEK293T cells transfected with either PEPD plasmid(Red) or empty vector control plasmid(Blue) using GTX83909 PEPD antibody [1B7].

8 / 11
Anti-PEPD antibody [1B7] used in Immunocytochemistry/ Immunofluorescence (ICC/IF). GTX83909
GTX83909 ICC/IF Image

ICC/IF analysis of COS7 cells transiently transfected with PEPD plasmid using GTX83909 PEPD antibody [1B7].

9 / 11
Anti-PEPD antibody [1B7] used in Western Blot (WB). GTX83909
GTX83909 WB Image

WB analysis of HEK293T cells transfected with PEPD plasmid (Right) or empty vector (Left) for 48 hrs using GTX83909 PEPD antibody [1B7].
Loading : 5 ug per lane

10 / 11
Anti-PEPD antibody [1B7] used in Western Blot (WB). GTX83909
GTX83909 WB Image

WB analysis of human tissues (Lane 1-Testis ; Lane 2-Omentum ; Lane 3-Uterus ; Lane 4-Breast ; Lane 5-Brain ; Lane 6-Liver ; Lane 7-Ovary ; Lane 8-Thyroid gland ; Lane 9-colon ; Lane 10-spleen) using GTX83909 PEPD antibody [1B7].
Loading : 10 ug per lane
Dilution : 1:200

11 / 11
Anti-PEPD antibody [1B7] used in Western Blot (WB). GTX83909
Anti-PEPD antibody [1B7] used in IHC (Paraffin sections) (IHC-P). GTX83909
Anti-PEPD antibody [1B7] used in IHC (Paraffin sections) (IHC-P). GTX83909
Anti-PEPD antibody [1B7] used in IHC (Paraffin sections) (IHC-P). GTX83909
Anti-PEPD antibody [1B7] used in IHC (Paraffin sections) (IHC-P). GTX83909
Anti-PEPD antibody [1B7] used in IHC (Paraffin sections) (IHC-P). GTX83909
Anti-PEPD antibody [1B7] used in IHC (Paraffin sections) (IHC-P). GTX83909
Anti-PEPD antibody [1B7] used in Flow cytometry (FCM). GTX83909
Anti-PEPD antibody [1B7] used in Immunocytochemistry/ Immunofluorescence (ICC/IF). GTX83909
Anti-PEPD antibody [1B7] used in Western Blot (WB). GTX83909
Anti-PEPD antibody [1B7] used in Western Blot (WB). GTX83909
  • Host
    Mouse
  • Clonality
    Monoclonal
  • Clone Name
    1B7
  • Isotype
    IgG1
  • Applications
    WB ICC/IF IHC-P FCM
  • Reactivity
    Human, Mouse
See all PEPD products