PERK antibody

Cat. No. GTX66661
Cat. No.  GTX66661
Anti-PERK antibody used in Western Blot (WB). GTX66661
GTX66661 WB Image

WB analysis of various samples using GTX66661 PERK antibody.
Lane1 : L02 whole cell lysate(40ug)
Lane2 : A549 whole cell lysate(40ug)
Dilution : 1:500

1 / 5
Anti-PERK antibody used in Western Blot (WB). GTX66661
GTX66661 WB Image

WB analysis of various samples using GTX66661 PERK antibody.
Lane1 : HCT116 whole cell lysate(20ug)
Lane2 : MCF-7 whole cell lysate(20ug)
Lane3 : A375 whole cell lysate(20ug)
Lane4 : CT26 whole cell lysate(40ug)
Lane5 : PMVEC whole cell lysate(40ug)
Dilution : 1:1000

2 / 5
Anti-PERK antibody used in IHC (Paraffin sections) (IHC-P). GTX66661
GTX66661 IHC-P Image

IHC-P analysis of human colon carcinoma tissue using GTX66661 PERK antibody.
Left : Primary antibody
Right : Negative control
Dilution : 1:50

3 / 5
Anti-PERK antibody used in IHC (Paraffin sections) (IHC-P). GTX66661
GTX66661 IHC-P Image

IHC-P analysis of human esophagus carcinoma tissue using GTX66661 PERK antibody.
Left : Primary antibody
Right : Negative control
Dilution : 1:50

4 / 5
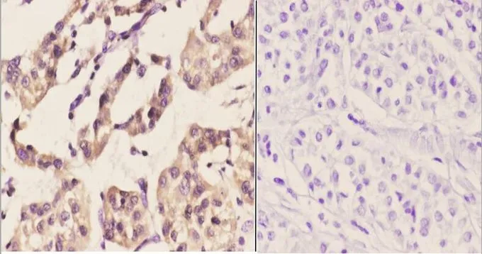
Anti-PERK antibody used in IHC (Paraffin sections) (IHC-P). GTX66661
GTX66661 IHC-P Image

IHC-P analysis of human liver carcinoma tissue using GTX66661 PERK antibody.
Left : Primary antibody
Right : Negative control
Dilution : 1:50

5 / 5
Anti-PERK antibody used in Western Blot (WB). GTX66661
Anti-PERK antibody used in Western Blot (WB). GTX66661
Anti-PERK antibody used in IHC (Paraffin sections) (IHC-P). GTX66661
Anti-PERK antibody used in IHC (Paraffin sections) (IHC-P). GTX66661
Anti-PERK antibody used in IHC (Paraffin sections) (IHC-P). GTX66661
  • Host
    Rabbit
  • Clonality
    Polyclonal
  • Isotype
    IgG
  • Applications
    WB IHC-P
  • Reactivity
    Human, Mouse
See all PERK products