PEX13 antibody [C3], C-term

Cat. No. GTX106330
Cat. No.  GTX106330
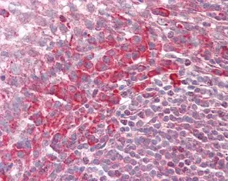
Anti-PEX13 antibody [C3], C-term used in IHC (Paraffin sections) (IHC-P). GTX106330
GTX106330 IHC-P Image

PEX13 antibody [C3], C-term detects PEX13 protein at cytoplasm on human placenta by immunohistochemical analysis.
Sample: Paraffin-embedded placenta.
PEX13 antibody [C3], C-term (GTX106330) dilution: 1:100.

Antigen Retrieval: Trilogy™ (EDTA based, pH 8.0) buffer, 15min

1 / 2
Anti-PEX13 antibody [C3], C-term used in Western Blot (WB). GTX106330
GTX106330 WB Image

Sample(30 μg of whole cell lysate)
A:MOLT4 (GTX27912)
7.5% SDS PAGE
GTX106330 diluted at 1:1000

2 / 2
Anti-PEX13 antibody [C3], C-term used in IHC (Paraffin sections) (IHC-P). GTX106330
Anti-PEX13 antibody [C3], C-term used in Western Blot (WB). GTX106330
  • Host
    Rabbit
  • Clonality
    Polyclonal
  • Isotype
    IgG
  • Applications
    WB IHC-P
  • Reactivity
    Human
See all PEX13 products