PGK1 + PGK2 antibody [HL1775]

Cat. No. GTX637427
Cat. No.  GTX637427
Anti-PGK1 + PGK2 antibody [HL1775] used in Western Blot (WB). GTX637427
GTX637427 WB Image

Whole zebrafish extract (30 μg) was separated by 10% SDS-PAGE, and the membrane was blotted with PGK1 + PGK2 antibody [HL1775] (GTX637427) diluted at 1:5000. The HRP-conjugated anti-rabbit IgG antibody (GTX213110-01) was used to detect the primary antibody.

1 / 6
Anti-PGK1 + PGK2 antibody [HL1775] used in IHC (Paraffin sections) (IHC-P). GTX637427
GTX637427 IHC-P Image

PGK1 + PGK2 antibody [HL1775] detects PGK1 + PGK2 protein at cytoplasm by immunohistochemical analysis.
Sample: Paraffin-embedded mouse testis.
PGK1 stained by PGK1 + PGK2 antibody [HL1775] (GTX637427) diluted at 1:100.
Antigen Retrieval: Citrate buffer, pH 6.0, 15 min

2 / 6
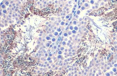
Anti-PGK1 + PGK2 antibody [HL1775] used in IHC (Paraffin sections) (IHC-P). GTX637427
GTX637427 IHC-P Image

PGK1 + PGK2 antibody [HL1775] detects PGK1 + PGK2 protein at cytoplasm by immunohistochemical analysis.
Sample: Paraffin-embedded rat testis.
PGK1 stained by PGK1 + PGK2 antibody [HL1775] (GTX637427) diluted at 1:100.
Antigen Retrieval: Citrate buffer, pH 6.0, 15 min

3 / 6
Anti-PGK1 + PGK2 antibody [HL1775] used in Western Blot (WB). GTX637427
GTX637427 WB Image

Various tissue extracts (50 μg) were separated by 10% SDS-PAGE, and the membrane was blotted with PGK1 + PGK2 antibody [HL1775] (GTX637427) diluted at 1:10000. The HRP-conjugated anti-rabbit IgG antibody (GTX213110-01) was used to detect the primary antibody.

4 / 6
Anti-PGK1 + PGK2 antibody [HL1775] used in Western Blot (WB). GTX637427
GTX637427 WB Image

Various whole cell extracts (30 μg) were separated by 10% SDS-PAGE, and the membrane was blotted with PGK1 + PGK2 antibody [HL1775] (GTX637427) diluted at 1:10000. The HRP-conjugated anti-rabbit IgG antibody (GTX213110-01) was used to detect the primary antibody.

5 / 6
Anti-PGK1 + PGK2 antibody [HL1775] used in Western Blot (WB). GTX637427
GTX637427 WB Image

Whole Japanese medaka extract (30 μg) was separated by 10% SDS-PAGE, and the membrane was blotted with PGK1 + PGK2 antibody [HL1775] (GTX637427) diluted at 1:1000. The HRP-conjugated anti-rabbit IgG antibody (GTX213110-01) was used to detect the primary antibody.

6 / 6
Anti-PGK1 + PGK2 antibody [HL1775] used in Western Blot (WB). GTX637427
Anti-PGK1 + PGK2 antibody [HL1775] used in IHC (Paraffin sections) (IHC-P). GTX637427
Anti-PGK1 + PGK2 antibody [HL1775] used in IHC (Paraffin sections) (IHC-P). GTX637427
Anti-PGK1 + PGK2 antibody [HL1775] used in Western Blot (WB). GTX637427
Anti-PGK1 + PGK2 antibody [HL1775] used in Western Blot (WB). GTX637427
Anti-PGK1 + PGK2 antibody [HL1775] used in Western Blot (WB). GTX637427
  • Host
    Rabbit
  • Clonality
    Monoclonal
  • Clone Name
    HL1775
  • Isotype
    IgG
  • Applications
    WB IHC-P
  • Reactivity
    Human, Mouse, Rat, Zebrafish, Japanese Medaka
See all PGK1 products