PGP9.5 antibody [3D9]

Cat. No. GTX57556
Cat. No.  GTX57556
Anti-PGP9.5 antibody [3D9] used in IHC (Paraffin sections) (IHC-P). GTX57556
GTX57556 IHC-P Image

IHC-P analysis of human nerve tissue using GTX57556 PGP9.5 antibody.
Antigen retrieval: 0.1M sodium citrate buffer
Dilution: 1:100

1 / 3
Anti-PGP9.5 antibody [3D9] used in Western Blot (WB). GTX57556
GTX57556 WB Image

WB analysis of various samples using GTX57556 PGP9.5 antibody.
Lane 1 : Mouse Brain lysate
Lane 2 : U87-MG whole cell lysate
Loading : 40 μg
Dilution : 1:1000

2 / 3
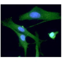
Anti-PGP9.5 antibody [3D9] used in Immunocytochemistry/ Immunofluorescence (ICC/IF). GTX57556
GTX57556 ICC/IF Image

ICC/IF analysis of U87-MG cells using GTX57556 PGP9.5 antibody.
Blue: DAPI
Green: Primary antibody
Dilution: 1:100

3 / 3
Anti-PGP9.5 antibody [3D9] used in IHC (Paraffin sections) (IHC-P). GTX57556
Anti-PGP9.5 antibody [3D9] used in Western Blot (WB). GTX57556
Anti-PGP9.5 antibody [3D9] used in Immunocytochemistry/ Immunofluorescence (ICC/IF). GTX57556
  • Host
    Mouse
  • Clonality
    Monoclonal
  • Clone Name
    3D9
  • Isotype
    IgG2a
  • Applications
    WB ICC/IF IHC-P
  • Reactivity
    Human, Mouse
See all PGP9.5 products