PGP9.5 antibody [HL3390]

Cat. No. GTX641210
Cat. No.  GTX641210
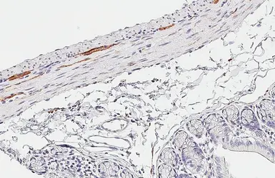
Anti-PGP9.5 antibody [HL3390] used in IHC (Paraffin sections) (IHC-P). GTX641210
GTX641210 IHC-P Image

PGP9.5 antibody [HL3390] detects PGP9.5 protein by immunohistochemical analysis.
Sample: Paraffin-embedded rat tissues.
PGP9.5 stained by PGP9.5 antibody [HL3390] (GTX641210) diluted at 1:1000.
Antigen Retrieval: Citrate buffer, pH 6.0, 15 min

1 / 2
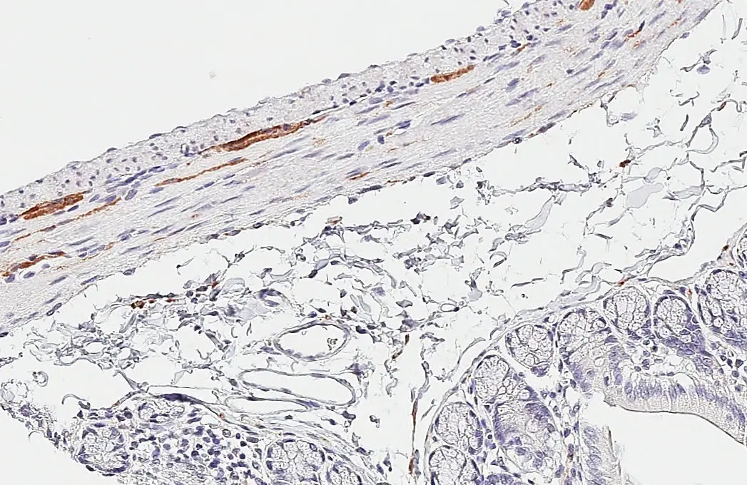
Anti-PGP9.5 antibody [HL3390] used in IHC (Paraffin sections) (IHC-P). GTX641210
GTX641210 IHC-P Image

PGP9.5 antibody [HL3390] detects PGP9.5 protein by immunohistochemical analysis.
Sample: Paraffin-embedded rat colon.
PGP9.5 stained by PGP9.5 antibody [HL3390] (GTX641210) diluted at 1:1000.
Antigen Retrieval: Citrate buffer, pH 6.0, 15 min

2 / 2
Anti-PGP9.5 antibody [HL3390] used in IHC (Paraffin sections) (IHC-P). GTX641210
Anti-PGP9.5 antibody [HL3390] used in IHC (Paraffin sections) (IHC-P). GTX641210
  • Host
    Rabbit
  • Clonality
    Monoclonal
  • Clone Name
    HL3390
  • Isotype
    IgG
  • Applications
    IHC-P
  • Reactivity
    Rat
See all PGP9.5 products