PGP9.5 antibody [HL3391]

Cat. No. GTX641211
Cat. No.  GTX641211
Anti-PGP9.5 antibody [HL3391] used in IHC (Frozen sections) (IHC-Fr). GTX641211
GTX641211 IHC-Fr Image

PGP9.5 antibody [HL3391] detects PGP9.5 protein by immunohistochemical analysis.
Sample: Frozen-sectioned mouse colon.
Green: PGP9.5 stained by PGP9.5 antibody [HL3391] (GTX641211) diluted at 1:250.
Red: beta Tubulin 3/ Tuj1 antibody [GT11710] (GTX631836) diluted at 1:500.
Blue: Hoechst 33342 staining.

1 / 8
Anti-PGP9.5 antibody [HL3391] used in IHC (Paraffin sections) (IHC-P). GTX641211
GTX641211 IHC-P Image

PGP9.5 antibody [HL3391] detects PGP9.5 protein by immunohistochemical analysis.
Sample: Paraffin-embedded mouse eye.
Green: PGP9.5 stained by PGP9.5 antibody [HL3391] (GTX641211) diluted at 1:1000.
Red: beta Tubulin 3/ Tuj1 antibody [GT11710] (GTX631836) diluted at 1:500.
Blue: Fluoroshield with DAPI (GTX30920).
Antigen Retrieval: Citrate buffer, pH 6.0, 15 min

2 / 8
Anti-PGP9.5 antibody [HL3391] used in IHC (Paraffin sections) (IHC-P). GTX641211
GTX641211 IHC-P Image

PGP9.5 antibody [HL3391] detects PGP9.5 protein by immunohistochemical analysis.
Sample: Paraffin-embedded mouse tissues.
PGP9.5 stained by PGP9.5 antibody [HL3391] (GTX641211) diluted at 1:1000.
Antigen Retrieval: Citrate buffer, pH 6.0, 15 min

3 / 8
Anti-PGP9.5 antibody [HL3391] used in IHC (Paraffin sections) (IHC-P). GTX641211
GTX641211 IHC-P Image

PGP9.5 antibody [HL3391] detects PGP9.5 protein by immunohistochemical analysis.
Sample: Paraffin-embedded mouse pancreas.
PGP9.5 stained by PGP9.5 antibody [HL3391] (GTX641211) diluted at 1:1000.
Antigen Retrieval: Citrate buffer, pH 6.0, 15 min

4 / 8
Anti-PGP9.5 antibody [HL3391] used in IHC (Paraffin sections) (IHC-P). GTX641211
GTX641211 IHC-P Image

PGP9.5 antibody [HL3391] detects PGP9.5 protein by immunohistochemical analysis.
Sample: Paraffin-embedded human pancreas.
PGP9.5 stained by PGP9.5 antibody [HL3391] (GTX641211) diluted at 1:1000.
Antigen Retrieval: Citrate buffer, pH 6.0, 15 min

5 / 8
Anti-PGP9.5 antibody [HL3391] used in IHC (Paraffin sections) (IHC-P). GTX641211
GTX641211 IHC-P Image

PGP9.5 antibody [HL3391] detects PGP9.5 protein by immunohistochemical analysis.
Sample: Paraffin-embedded human tissues.
PGP9.5 stained by PGP9.5 antibody [HL3391] (GTX641211) diluted at 1:1000.
Antigen Retrieval: Citrate buffer, pH 6.0, 15 min

6 / 8
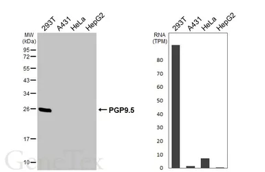
Anti-PGP9.5 antibody [HL3391] used in Western Blot (WB). GTX641211
GTX641211 WB Image

Various whole cell extracts (30 μg) were separated by 12% SDS-PAGE, and the membrane was blotted with PGP9.5 antibody [HL3391] (GTX641211) diluted at 1:1000. The HRP-conjugated anti-rabbit IgG antibody (GTX213110-01) was used to detect the primary antibody. Corresponding RNA expression data for the same cell lines are based on Human Protein Atlas program.

7 / 8
Anti-PGP9.5 antibody [HL3391] used in Western Blot (WB). GTX641211
GTX641211 WB Image

Various tissue extracts (50 μg) were separated by 12% SDS-PAGE, and the membrane was blotted with PGP9.5 antibody [HL3391] (GTX641211) diluted at 1:1000. The HRP-conjugated anti-rabbit IgG antibody (GTX213110-01) was used to detect the primary antibody.

8 / 8
Anti-PGP9.5 antibody [HL3391] used in IHC (Frozen sections) (IHC-Fr). GTX641211
Anti-PGP9.5 antibody [HL3391] used in IHC (Paraffin sections) (IHC-P). GTX641211
Anti-PGP9.5 antibody [HL3391] used in IHC (Paraffin sections) (IHC-P). GTX641211
Anti-PGP9.5 antibody [HL3391] used in IHC (Paraffin sections) (IHC-P). GTX641211
Anti-PGP9.5 antibody [HL3391] used in IHC (Paraffin sections) (IHC-P). GTX641211
Anti-PGP9.5 antibody [HL3391] used in IHC (Paraffin sections) (IHC-P). GTX641211
Anti-PGP9.5 antibody [HL3391] used in Western Blot (WB). GTX641211
Anti-PGP9.5 antibody [HL3391] used in Western Blot (WB). GTX641211
  • Host
    Rabbit
  • Clonality
    Monoclonal
  • Clone Name
    HL3391
  • Isotype
    IgG
  • Applications
    WB IHC-P IHC-Fr
  • Reactivity
    Human, Mouse, Rat
See all PGP9.5 products