PGP9.5 antibody

Cat. No. GTX109637
Cat. No.  GTX109637
Anti-PGP9.5 antibody used in Immunocytochemistry/ Immunofluorescence (ICC/IF). GTX109637
GTX109637 ICC/IF Image

PGP9.5 antibody detects PGP9.5 protein at cytoplasm by immunofluorescent analysis.
Sample: DIV9 rat E18 primary cortical neurons were fixed in 4% paraformaldehyde at RT for 15 min.
Green: PGP9.5 protein stained by PGP9.5 antibody (GTX109637) diluted at 1:500.
Red: beta Tubulin 3/ Tuj1, stained by beta Tubulin 3/ Tuj1 antibody [GT11710] (GTX631836) diluted at 1:500.
Blue: Fluoroshield with DAPI (GTX30920).

1 / 14
Anti-PGP9.5 antibody used in IHC (Paraffin sections) (IHC-P). GTX109637
GTX109637 IHC-P Image

PGP9.5 antibody detects PGP9.5 protein by immunohistochemical analysis.
Sample: Paraffin-embedded mouse colon.
PGP9.5 stained by PGP9.5 antibody (GTX109637) diluted at 1:500.
Antigen Retrieval: Citrate buffer, pH 6.0, 15 min

2 / 14
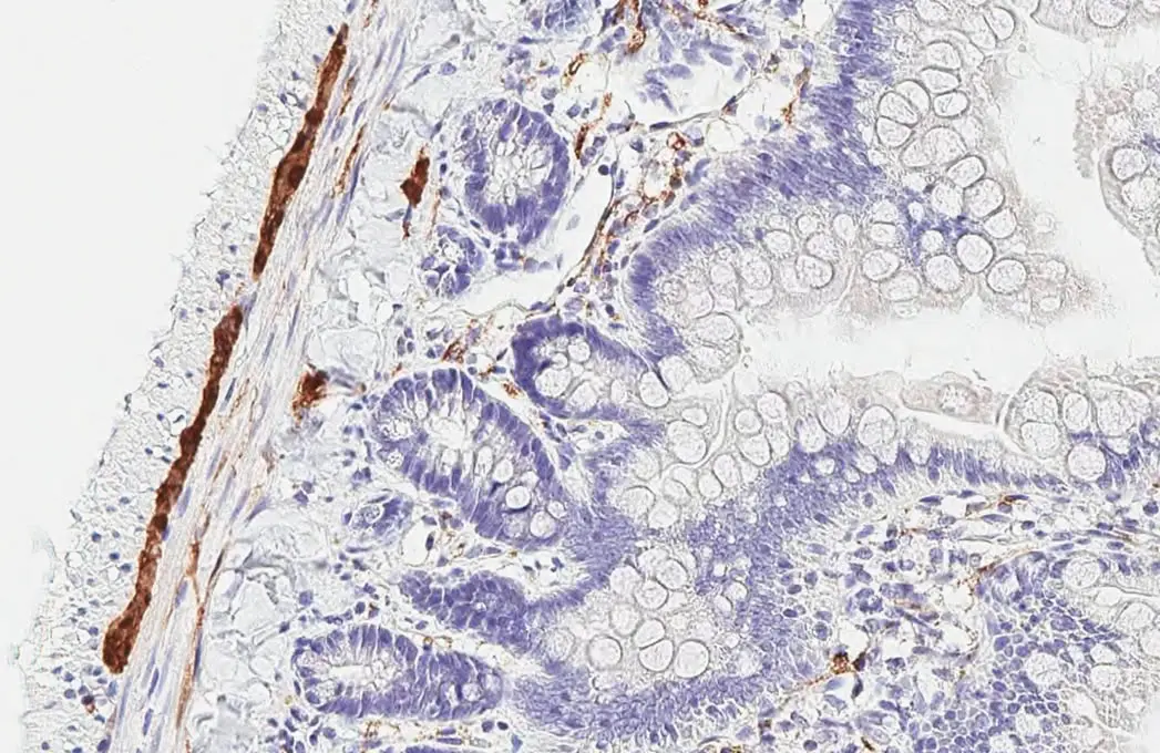
Anti-PGP9.5 antibody used in IHC (Paraffin sections) (IHC-P). GTX109637
GTX109637 IHC-P Image

PGP9.5 antibody detects PGP9.5 protein by immunohistochemical analysis.
Sample: Paraffin-embedded rat colon.
PGP9.5 stained by PGP9.5 antibody (GTX109637) diluted at 1:500.
Antigen Retrieval: Citrate buffer, pH 6.0, 15 min

3 / 14
Anti-PGP9.5 antibody used in Western Blot (WB). GTX109637
GTX109637 WB Image

PGP9.5 antibody detects PGP9.5 protein by Western blot analysis.
A. 50 μg mouse brain lysate/extract
12 % SDS-PAGE
PGP9.5 antibody (GTX109637) dilution: 1:5000

4 / 14
Anti-PGP9.5 antibody used in Western Blot (WB). GTX109637
GTX109637 WB Image

PGP9.5 antibody detects PGP9.5 protein by western blot analysis.
A. 30 μg Neuro2A whole cell lysate/extract
B. 30 μg GL261 whole cell lysate/extract
12% SDS-PAGE
PGP9.5 antibody (GTX109637) dilution: 1:10000
The HRP-conjugated anti-rabbit IgG antibody (GTX213110-01) was used to detect the primary antibody.

5 / 14
Anti-PGP9.5 antibody used in Western Blot (WB). GTX109637
GTX109637 WB Image

Non-transfected (–) and transfected (+) 293T whole cell extracts (30 μg) were separated by 12% SDS-PAGE, and the membrane was blotted with PGP9.5 antibody (GTX109637) diluted at 1:3000. The HRP-conjugated anti-rabbit IgG antibody (GTX213110-01) was used to detect the primary antibody.

6 / 14
Anti-PGP9.5 antibody used in Western Blot (WB). GTX109637
GTX109637 WB Image

Rat tissue extract (50 μg) was separated by 12% SDS-PAGE, and the membrane was blotted with PGP9.5 antibody (GTX109637) diluted at 1:10000.

7 / 14
Anti-PGP9.5 antibody used in IHC (Paraffin sections) (IHC-P). GTX109637
GTX109637 IHC-P Image

PGP9.5 antibody detects PGP9.5 protein by immunohistochemical analysis.
Samples: Paraffin-embedded rat colon.
Green: PGP9.5 protein stained by PGP9.5 antibody (GTX109637) diluted at 1:250.
Red: beta Tubulin 3/ Tuj1, a marker, stained by beta Tubulin 3/ Tuj1 antibody [GT1338] (GTX631831) diluted at 1:500.
Blue: Fluoroshield with DAPI (GTX30920).

Antigen Retrieval: Citrate buffer, pH 6.0, 15 min

8 / 14
Anti-PGP9.5 antibody used in IHC (Frozen sections) (IHC-Fr). GTX109637
GTX109637 IHC-Fr Image

PGP9.5 antibody detects PGP9.5 protein expression by immunohistochemical analysis.
Sample: Frozen-sectioned adult mouse cerebellum.
Green: PGP9.5 protein stained by PGP9.5 antibody (GTX109637) diluted at 1:250.
Red: beta Tubulin 3/ TUJ1, stained by beta Tubulin 3/ TUJ1 antibody [GT11710] (GTX631836) diluted at 1:500.
Blue: Fluoroshield with DAPI (GTX30920).

9 / 14
Anti-PGP9.5 antibody used in IHC (Paraffin sections) (IHC-P). GTX109637
GTX109637 IHC-P Image

PGP9.5 antibody detects PGP9.5 protein by immunohistochemical analysis.
Samples: Paraffin-embedded mouse skin.
Green: PGP9.5 protein stained by PGP9.5 antibody (GTX109637) diluted at 1:250.
Red: beta Tubulin 3/ Tuj1, a marker, stained by beta Tubulin 3/ Tuj1 antibody [GT1338] (GTX631831) diluted at 1:500.
Blue: Fluoroshield with DAPI (GTX30920).

Antigen Retrieval: Citrate buffer, pH 6.0, 15 min

10 / 14
Anti-PGP9.5 antibody used in Western Blot (WB). GTX109637
GTX109637 WB Image

Various whole cell extracts (30 μg) were separated by 12% SDS-PAGE, and the membrane was blotted with PGP9.5 antibody (GTX109637) diluted at 1:1000. The HRP-conjugated anti-rabbit IgG antibody (GTX213110-01) was used to detect the primary antibody. Corresponding RNA expression data for the same cell lines are based on Human Protein Atlas program.

11 / 14
Anti-PGP9.5 antibody used in IHC (Frozen sections) (IHC-Fr). GTX109637
GTX109637 IHC-Fr Image

PGP9.5 antibody detects PGP9.5 protein expression by immunohistochemical analysis.
Sample: Frozen sectioned E13.5 Rat brain.
Green: PGP9.5 protein stained by PGP9.5 antibody (GTX109637) diluted at 1:250.
Red: beta Tubulin 3/ TUJ1, a mature neuron marker, stained by beta Tubulin 3/ TUJ1 antibody [GT11710] (GTX631836) diluted at 1:500.
Blue: Fluoroshield with DAPI (GTX30920).

12 / 14
Anti-PGP9.5 antibody used in Immunocytochemistry/ Immunofluorescence (ICC/IF). GTX109637
GTX109637 ICC/IF Image

PGP9.5 antibody detects PGP9.5 protein at cytoplasm by immunofluorescent analysis.
Sample: U87-MG cells were fixed in 4% paraformaldehyde at RT for 15 min.
Green: PGP9.5 stained by PGP9.5 antibody (GTX109637) diluted at 1:200.
Blue: Fluoroshield with DAPI (GTX30920).

13 / 14
Anti-PGP9.5 antibody used in IHC (Paraffin sections) (IHC-P). GTX109637
GTX109637 IHC-P Image

The data was published in the journal Cells in 2020. PMID: 32155948

14 / 14
Anti-PGP9.5 antibody used in Immunocytochemistry/ Immunofluorescence (ICC/IF). GTX109637
Anti-PGP9.5 antibody used in IHC (Paraffin sections) (IHC-P). GTX109637
Anti-PGP9.5 antibody used in IHC (Paraffin sections) (IHC-P). GTX109637
Anti-PGP9.5 antibody used in Western Blot (WB). GTX109637
Anti-PGP9.5 antibody used in Western Blot (WB). GTX109637
Anti-PGP9.5 antibody used in Western Blot (WB). GTX109637
Anti-PGP9.5 antibody used in Western Blot (WB). GTX109637
Anti-PGP9.5 antibody used in IHC (Paraffin sections) (IHC-P). GTX109637
Anti-PGP9.5 antibody used in IHC (Frozen sections) (IHC-Fr). GTX109637
Anti-PGP9.5 antibody used in IHC (Paraffin sections) (IHC-P). GTX109637
Anti-PGP9.5 antibody used in Western Blot (WB). GTX109637
Anti-PGP9.5 antibody used in IHC (Frozen sections) (IHC-Fr). GTX109637
Anti-PGP9.5 antibody used in Immunocytochemistry/ Immunofluorescence (ICC/IF). GTX109637
Anti-PGP9.5 antibody used in IHC (Paraffin sections) (IHC-P). GTX109637
  • Host
    Rabbit
  • Clonality
    Polyclonal
  • Isotype
    IgG
  • Applications
    WB ICC/IF IHC-P IHC-Fr
  • Reactivity
    Human, Mouse, Rat
See all PGP9.5 products