PHKA2 antibody [C3], C-term

Cat. No. GTX108342
Cat. No.  GTX108342
Anti-PHKA2 antibody [C3], C-term used in Western Blot (WB). GTX108342
GTX108342 WB Image

Sample (30 ug of whole cell lysate)
A: Hep G2 (GTX27900)
5% SDS PAGE
GTX108342 diluted at 1:500

1 / 2
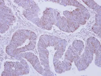
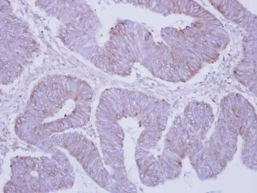
Anti-PHKA2 antibody [C3], C-term used in IHC (Paraffin sections) (IHC-P). GTX108342
GTX108342 IHC-P Image

Immunohistochemical analysis of paraffin-embedded human colon carcinoma, using PHKA2(GTX108342) antibody at 1:250 dilution.
Antigen Retrieval: Trilogy™ (EDTA based, pH 8.0) buffer, 15min

2 / 2
Anti-PHKA2 antibody [C3], C-term used in Western Blot (WB). GTX108342
Anti-PHKA2 antibody [C3], C-term used in IHC (Paraffin sections) (IHC-P). GTX108342
  • Host
    Rabbit
  • Clonality
    Polyclonal
  • Isotype
    IgG
  • Applications
    WB IHC-P
  • Reactivity
    Human
See all PHKA2 products