PI3 kinase p110 gamma antibody [C3], C-term

Cat. No. GTX104639
Cat. No.  GTX104639
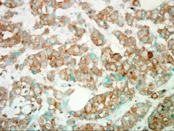
Anti-PI3 kinase p110 gamma antibody [C3], C-term used in IHC (Paraffin sections) (IHC-P). GTX104639
GTX104639 IHC-P Image

Immunohistochemical analysis of paraffin-embedded Human Breast Cancer, using PI3K gamma(GTX104639) antibody.
Antigen Retrieval: Trilogy™ (EDTA based, pH 8.0) buffer, 15min

1 / 4
Anti-PI3 kinase p110 gamma antibody [C3], C-term used in Western Blot (WB). GTX104639
GTX104639 WB Image

Whole cell extract (30 μg) was separated by 7.5% SDS-PAGE, and the membrane was blotted with PI3 kinase p110 gamma antibody [C3], C-term (GTX104639) diluted at 1:1000. The HRP-conjugated anti-rabbit IgG antibody (GTX213110-01) was used to detect the primary antibody.

2 / 4
Anti-PI3 kinase p110 gamma antibody [C3], C-term used in Western Blot (WB). GTX104639
GTX104639 WB Image

Non-transfected (–) and transfected (+) 293T whole cell extracts (30 μg) were separated by 7.5% SDS-PAGE, and the membrane was blotted with PI3 kinase p110 gamma antibody [C3], C-term (GTX104639) diluted at 1:500. The HRP-conjugated anti-rabbit IgG antibody (GTX213110-01) was used to detect the primary antibody.

3 / 4
Anti-PI3 kinase p110 gamma antibody [C3], C-term used in Western Blot (WB). GTX104639
GTX104639 WB Image

Various whole cell extracts (30 μg) were separated by 5% SDS-PAGE, and the membrane was blotted with PI3 kinase p110 gamma antibody [C3], C-term (GTX104639) diluted at 1:500. The HRP-conjugated anti-rabbit IgG antibody (GTX213110-01) was used to detect the primary antibody.

4 / 4
Anti-PI3 kinase p110 gamma antibody [C3], C-term used in IHC (Paraffin sections) (IHC-P). GTX104639
Anti-PI3 kinase p110 gamma antibody [C3], C-term used in Western Blot (WB). GTX104639
Anti-PI3 kinase p110 gamma antibody [C3], C-term used in Western Blot (WB). GTX104639
Anti-PI3 kinase p110 gamma antibody [C3], C-term used in Western Blot (WB). GTX104639
  • Host
    Rabbit
  • Clonality
    Polyclonal
  • Isotype
    IgG
  • Applications
    WB IHC-P
  • Reactivity
    Human, Mouse, Rat
See all PI3 kinase p110 gamma products