PI3 kinase p85 / p55 antibody

Cat. No. GTX50873
Cat. No.  GTX50873
Anti-PI3 kinase p85 / p55 antibody used in IHC (Paraffin sections) (IHC-P). GTX50873
GTX50873 IHC-P Image

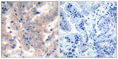
IHC-P analysis of human lung carcinoma tissue using GTX50873 PI3 kinase p85 alpha/ gamma/ beta antibody.
Left : Primary antibody
Right : Primary antibody pre-incubated with the antigen specific peptide

1 / 1
Anti-PI3 kinase p85 / p55 antibody used in IHC (Paraffin sections) (IHC-P). GTX50873
  • Host
    Rabbit
  • Clonality
    Polyclonal
  • Isotype
    IgG
  • Applications
    IHC-P
  • Reactivity
    Human
See all PI3 kinase p85 / p55 products