PI4 kinase beta antibody

Cat. No. GTX05121
Cat. No.  GTX05121
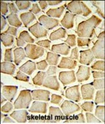
Anti-PI4 kinase beta antibody used in IHC (Paraffin sections) (IHC-P). GTX05121
GTX05121 IHC-P Image

IHC-P analysis of human skeletal muscle tissue using GTX05121 PI4 kinase beta antibody.

1 / 3
Anti-PI4 kinase beta antibody used in Flow cytometry (FCM). GTX05121
GTX05121 FCM Image

FCM analysis of HeLa cells using GTX05121 PI4 kinase beta antibody.
Green line : Primary antibody
Blue line : Negative control

2 / 3
Anti-PI4 kinase beta antibody used in Western Blot (WB). GTX05121
GTX05121 WB Image

WB analysis of HeLa whole cell lysate using GTX05121 PI4 kinase beta antibody.
Loading : 35μg

3 / 3
Anti-PI4 kinase beta antibody used in IHC (Paraffin sections) (IHC-P). GTX05121
Anti-PI4 kinase beta antibody used in Flow cytometry (FCM). GTX05121
Anti-PI4 kinase beta antibody used in Western Blot (WB). GTX05121
  • Host
    Rabbit
  • Clonality
    Polyclonal
  • Isotype
    IgG
  • Applications
    WB IHC-P FCM
  • Reactivity
    Human, Mouse
See all PI4 kinase beta products