PIGO antibody [N2N3]

Cat. No. GTX118512
Cat. No.  GTX118512
Anti-PIGO antibody [N2N3] used in Western Blot (WB). GTX118512
GTX118512 WB Image

Sample (30 ug of whole cell lysate)
A: A549
10% SDS PAGE
GTX118512 diluted at 1:1000

1 / 2
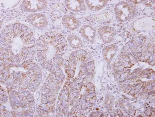
Anti-PIGO antibody [N2N3] used in IHC (Paraffin sections) (IHC-P). GTX118512
GTX118512 IHC-P Image

PIGO antibody [N2N3] detects PIGO protein at cytosol on human colon carcinoma by immunohistochemical analysis.
Sample: Paraffin-embedded human colon carcinoma.
PIGO antibody [N2N3] (GTX118512) dilution: 1:200.

Antigen Retrieval: Trilogy™ (EDTA based, pH 8.0) buffer, 15min

2 / 2
Anti-PIGO antibody [N2N3] used in Western Blot (WB). GTX118512
Anti-PIGO antibody [N2N3] used in IHC (Paraffin sections) (IHC-P). GTX118512
  • Host
    Rabbit
  • Clonality
    Polyclonal
  • Isotype
    IgG
  • Applications
    WB IHC-P
  • Reactivity
    Human
See all PIGO products