PITRM1 antibody

Cat. No. GTX121279
Cat. No.  GTX121279
Anti-PITRM1 antibody used in Immunocytochemistry/ Immunofluorescence (ICC/IF). GTX121279
GTX121279 ICC/IF Image

PITRM1 antibody detects PITRM1 protein at mitochondria by immunofluorescent analysis.
Sample: SKNSH cells were fixed in ice-cold MeOH for 5 min.
Green: PITRM1 protein stained by PITRM1 antibody (GTX121279) diluted at 1:500.
Blue: Hoechst 33342 staining.
Scale bar = 10 μm.

1 / 3
Anti-PITRM1 antibody used in Western Blot (WB). GTX121279
GTX121279 WB Image

Sample (30 ug of whole cell lysate)
A: PC-3
B: U87-MG
7.5% SDS PAGE
GTX121279 diluted at 1:1000

2 / 3
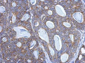
Anti-PITRM1 antibody used in IHC (Paraffin sections) (IHC-P). GTX121279
GTX121279 IHC-P Image

Immunohistochemical analysis of paraffin-embedded human gastric cancer, using PITRM1(GTX121279) antibody at 1:500 dilution.
Antigen Retrieval: Trilogy™ (EDTA based, pH 8.0) buffer, 15min

3 / 3
Anti-PITRM1 antibody used in Immunocytochemistry/ Immunofluorescence (ICC/IF). GTX121279
Anti-PITRM1 antibody used in Western Blot (WB). GTX121279
Anti-PITRM1 antibody used in IHC (Paraffin sections) (IHC-P). GTX121279
  • Host
    Rabbit
  • Clonality
    Polyclonal
  • Isotype
    IgG
  • Applications
    WB ICC/IF IHC-P
  • Reactivity
    Human
See all PITRM1 products