PKC delta (phospho Ser645) antibody

Cat. No. GTX25657
Cat. No.  GTX25657
Anti-PKC delta (phospho Ser645) antibody used in Western Blot (WB). GTX25657
GTX25657 WB Image

WB analysis of MCF7 cell lysate using GTX25657 PKC delta (phospho Ser645) antibody (Lane 3 and 4) and PKCδ antibody (Lane 1 and 2).

1 / 2
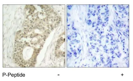
Anti-PKC delta (phospho Ser645) antibody used in IHC (Paraffin sections) (IHC-P). GTX25657
GTX25657 IHC-P Image

IHC-P analysis of human breast carcinoma tissue using GTX25657 PKC delta (phospho Ser645) antibody.

2 / 2
Anti-PKC delta (phospho Ser645) antibody used in Western Blot (WB). GTX25657
Anti-PKC delta (phospho Ser645) antibody used in IHC (Paraffin sections) (IHC-P). GTX25657
  • Host
    Rabbit
  • Clonality
    Polyclonal
  • Isotype
    IgG
  • Applications
    WB IHC-P
  • Reactivity
    Human
See all PKC delta products