PKC delta (phospho Ser664) antibody

Cat. No. GTX25658
Cat. No.  GTX25658
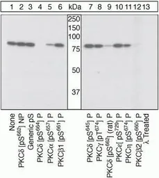
Anti-PKC delta (phospho Ser664) antibody used in Western Blot (WB). GTX25658
GTX25658 WB Image

WB (peptide competition) analysis of K562 cells stimulated with PMA using GTX25658 PKC delta (phospho Ser664) antibody prior incubated with the non-phosphopeptide corresponding to the immunogen (Lane 2), a generic phosphoserine-containing peptide (Lane 3), the phosphopeptide immunogen (Lane 4), or the phosphopeptides corresponding to other PKC isoforms (Lane 5-12)control.The data show that the peptide corresponding to PKCdelta (pS664) blocks the antibody signal. The peptide corresponding to PKCalpha (pS657) partially blocks the antibody signal, while those for PKCbetaII (pS660), and rat PKCdelta (pS662) block the antibody signal more thoroughly, indicating their respective reactivity with this antibody. The membrane treated with phosphatase (Lane 13) eliminates the signal further verifying that the antibody is phospho-specific.

1 / 2
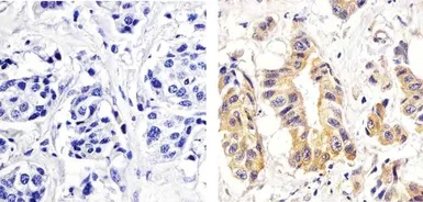
Anti-PKC delta (phospho Ser664) antibody used in IHC (Paraffin sections) (IHC-P). GTX25658
GTX25658 IHC-P Image

IHC-P analysis of human breast carcinoma tissue using GTX25658 PKC delta (phospho Ser664) antibody.
Right : Primary antibody
Left : Negative control without primary antibody
Antigen retrieval : 10mM sodium citrate (pH 6.0), microwaved for 8-15 min
Dilution : 1:20

2 / 2
Anti-PKC delta (phospho Ser664) antibody used in Western Blot (WB). GTX25658
Anti-PKC delta (phospho Ser664) antibody used in IHC (Paraffin sections) (IHC-P). GTX25658
  • Host
    Rabbit
  • Clonality
    Polyclonal
  • Isotype
    IgG
  • Applications
    WB IHC-P
  • Reactivity
    Human, Rat
See all PKC delta products