PKC nu antibody [N1N3]

Cat. No. GTX116489
Cat. No.  GTX116489
Anti-PKC nu antibody [N1N3] used in Western Blot (WB). GTX116489
GTX116489 WB Image

Sample (30 ug of whole cell lysate)
A: 293T
7.5% SDS PAGE
GTX116489 diluted at 1:1000

1 / 2
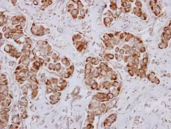
Anti-PKC nu antibody [N1N3] used in IHC (Paraffin sections) (IHC-P). GTX116489
GTX116489 IHC-P Image

Immunohistochemical analysis of paraffin-embedded human breast cancer, using PKC nu(GTX116489) antibody at 1:250 dilution.
Antigen Retrieval: Trilogy™ (EDTA based, pH 8.0) buffer, 15min

2 / 2
Anti-PKC nu antibody [N1N3] used in Western Blot (WB). GTX116489
Anti-PKC nu antibody [N1N3] used in IHC (Paraffin sections) (IHC-P). GTX116489
  • Host
    Rabbit
  • Clonality
    Polyclonal
  • Isotype
    IgG
  • Applications
    WB IHC-P
  • Reactivity
    Human
See all PKC nu products