PKC theta antibody

Cat. No. GTX50606
Cat. No.  GTX50606
Anti-PKC theta antibody used in Western Blot (WB). GTX50606
GTX50606 WB Image

WB analysis of extracts from PC12 cells using GTX50606 PKC theta antibody.

1 / 3
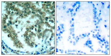
Anti-PKC theta antibody used in IHC (Paraffin sections) (IHC-P). GTX50606
GTX50606 IHC-P Image

IHC-P analysis of human lung carcinoma tissue using GTX50606 PKC theta antibody.
Left : Primary antibody
Right : Primary antibody pre-incubated with the antigen specific peptide

2 / 3
Anti-PKC theta antibody used in Immunocytochemistry/ Immunofluorescence (ICC/IF). GTX50606
GTX50606 ICC/IF Image

ICC/IF analysis of methanol-fixed HeLa cells using GTX50606 PKC theta antibody.

3 / 3
Anti-PKC theta antibody used in Western Blot (WB). GTX50606
Anti-PKC theta antibody used in IHC (Paraffin sections) (IHC-P). GTX50606
Anti-PKC theta antibody used in Immunocytochemistry/ Immunofluorescence (ICC/IF). GTX50606
  • Host
    Rabbit
  • Clonality
    Polyclonal
  • Isotype
    IgG
  • Applications
    WB ICC/IF IHC-P
  • Reactivity
    Human, Rat
See all PKC theta products