PKC theta (phospho Ser695) antibody

Cat. No. GTX38611
Cat. No.  GTX38611
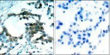
Anti-PKC theta (phospho Ser695) antibody used in IHC (Paraffin sections) (IHC-P). GTX38611
GTX38611 IHC-P Image

IHC-P analysis of human lung carcinoma tissue using GTX38611 PKC theta (phospho Ser695) antibody. with(right) or without(left) preincubated with blocking peptide.

1 / 2
Anti-PKC theta (phospho Ser695) antibody used in Western Blot (WB). GTX38611
GTX38611 WB Image

WB analysis of 293 cell lysate using GTX38611 PKC theta (phospho Ser695) antibody.

2 / 2
Anti-PKC theta (phospho Ser695) antibody used in IHC (Paraffin sections) (IHC-P). GTX38611
Anti-PKC theta (phospho Ser695) antibody used in Western Blot (WB). GTX38611
  • Host
    Rabbit
  • Clonality
    Polyclonal
  • Isotype
    IgG
  • Applications
    WB IHC-P
  • Reactivity
    Human
See all PKC theta products