PKC zeta (phospho Thr410) antibody

Cat. No. GTX66730
Cat. No.  GTX66730
Anti-PKC zeta (phospho Thr410) antibody used in Western Blot (WB). GTX66730
GTX66730 WB Image

WB analysis of various samples using GTX66730 PKC zeta (phospho Thr410) antibody.
Lane1 : MCF-7 whole cell lysate
Lane2 : MCF-7 treated with insulin(100nM/ml,15 minutes) whole cell lysate
Lane3 : The Kidney tissue lysate of Rat
Lane4 : The Lung tissue lysate of Mouse
Dilution : 1:500

1 / 2
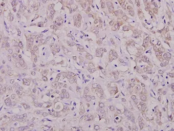
Anti-PKC zeta (phospho Thr410) antibody used in IHC (Paraffin sections) (IHC-P). GTX66730
GTX66730 IHC-P Image

IHC-P analysis of human breast carcinoma tissue using GTX66730 PKC zeta (phospho Thr410) antibody.
Dilution : 1:100

2 / 2
Anti-PKC zeta (phospho Thr410) antibody used in Western Blot (WB). GTX66730
Anti-PKC zeta (phospho Thr410) antibody used in IHC (Paraffin sections) (IHC-P). GTX66730
  • Host
    Rabbit
  • Clonality
    Polyclonal
  • Isotype
    IgG
  • Applications
    WB IHC-P
  • Reactivity
    Human, Mouse, Rat
See all PKC zeta products