PKC zeta (phospho Thr410) antibody

Cat. No. GTX78967
Cat. No.  GTX78967
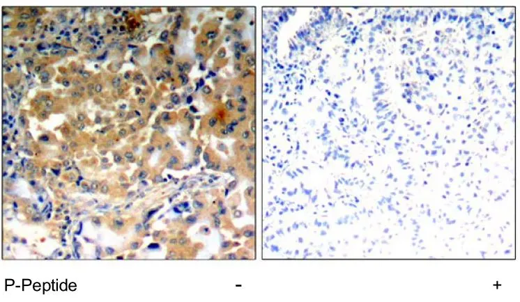
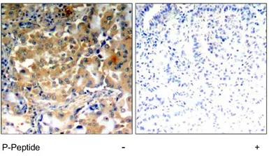
Anti-PKC zeta (phospho Thr410) antibody used in IHC (Paraffin sections) (IHC-P). GTX78967
GTX78967 IHC-P Image

IHC-P analysis of human lung carcinoma tissue using GTX78967 PKC zeta (phospho Thr410) antibody.

1 / 1
Anti-PKC zeta (phospho Thr410) antibody used in IHC (Paraffin sections) (IHC-P). GTX78967
  • Host
    Rabbit
  • Clonality
    Polyclonal
  • Isotype
    IgG
  • Applications
    IHC-P
  • Reactivity
    Human
See all PKC zeta products