PKM antibody

Cat. No. GTX107681
Cat. No.  GTX107681
Anti-PKM antibody used in Western Blot (WB). GTX107681
GTX107681 WB Image

Non-transfected (–) and transfected (+) 293T whole cell extracts (30 μg) were separated by 7.5% SDS-PAGE, and the membrane was blotted with PKM antibody (GTX107681) diluted at 1:500.

1 / 8
Anti-PKM antibody used in Western Blot (WB). GTX107681
GTX107681 WB Image

Pyruvate Kinase (muscle) antibody detects PKM2 protein by Western blot analysis.
A. 50 μg Rat brain lysate/extract
7.5 % SDS-PAGE
Pyruvate Kinase (muscle) antibody (GTX107681) dilution: 1:1000

2 / 8
Anti-PKM antibody used in Western Blot (WB). GTX107681
GTX107681 WB Image

Non-transfected (–) and transfected (+) 293T whole cell extracts (30 μg) were separated by 7.5% SDS-PAGE, and the membrane was blotted with PKM antibody (GTX107681) diluted at 1:500. The HRP-conjugated anti-rabbit IgG antibody (GTX213110-01) was used to detect the primary antibody.

3 / 8
Anti-PKM antibody used in Western Blot (WB). GTX107681
GTX107681 WB Image

Mouse tissue extract (50 μg) was separated by 10% SDS-PAGE, and the membrane was blotted with PKM antibody (GTX107681) diluted at 1:1000. The HRP-conjugated anti-rabbit IgG antibody (GTX213110-01) was used to detect the primary antibody, and the signal was developed with Trident ECL plus-Enhanced.

4 / 8
Anti-PKM antibody used in Western Blot (WB). GTX107681
GTX107681 WB Image

Various whole cell extracts (30 μg) were separated by 10% SDS-PAGE, and the membrane was blotted with PKM antibody (GTX107681) diluted at 1:1000. The HRP-conjugated anti-rabbit IgG antibody (GTX213110-01) was used to detect the primary antibody.

5 / 8
Anti-PKM antibody used in Immunocytochemistry/ Immunofluorescence (ICC/IF). GTX107681
GTX107681 ICC/IF Image

PKM antibody detects PKM protein at cytoplasm by immunofluorescent analysis.
Sample: HeLa cells were fixed in 4% paraformaldehyde at RT for 15 min.
Green: PKM stained by PKM antibody (GTX107681) diluted at 1:500.

6 / 8
Anti-PKM antibody used in Western Blot (WB). GTX107681
GTX107681 WB Image

Various whole cell extracts (30 μg) were separated by 10% SDS-PAGE, and the membrane was blotted with PKM antibody (GTX107681) diluted at 1:1000. The HRP-conjugated anti-rabbit IgG antibody (GTX213110-01) was used to detect the primary antibody. Corresponding RNA expression data for the same cell lines are based on Human Protein Atlas program.

7 / 8
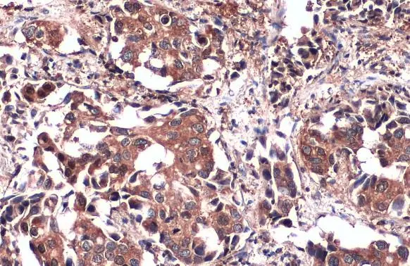
Anti-PKM antibody used in IHC (Paraffin sections) (IHC-P). GTX107681
GTX107681 IHC-P Image

PKM antibody detects PKM protein at cytoplasm by immunohistochemical analysis.
Sample: Paraffin-embedded human lung cancer.
PKM stained by PKM antibody (GTX107681) diluted at 1:500.
Antigen Retrieval: Citrate buffer, pH 6.0, 15 min

8 / 8
Anti-PKM antibody used in Western Blot (WB). GTX107681
Anti-PKM antibody used in Western Blot (WB). GTX107681
Anti-PKM antibody used in Western Blot (WB). GTX107681
Anti-PKM antibody used in Western Blot (WB). GTX107681
Anti-PKM antibody used in Western Blot (WB). GTX107681
Anti-PKM antibody used in Immunocytochemistry/ Immunofluorescence (ICC/IF). GTX107681
Anti-PKM antibody used in Western Blot (WB). GTX107681
Anti-PKM antibody used in IHC (Paraffin sections) (IHC-P). GTX107681
  • Host
    Rabbit
  • Clonality
    Polyclonal
  • Isotype
    IgG
  • Applications
    WB ICC/IF IHC-P
  • Reactivity
    Human, Mouse, Rat
See all PKM products