PLCB3 antibody

Cat. No. GTX111100
Cat. No.  GTX111100
Anti-PLCB3 antibody used in Western Blot (WB). GTX111100
GTX111100 WB Image

Various whole cell extracts (30 μg) were separated by 5% SDS-PAGE, and the membranes were blotted with PLCB3 antibody (GTX111100) diluted at 1:1000 and competitor's antibody (sc-403) diluted at 1:1000. The HRP-conjugated anti-rabbit IgG antibody (GTX213110-01) was used to detect the primary antibody.

1 / 4
Anti-PLCB3 antibody used in Western Blot (WB). GTX111100
GTX111100 WB Image

phospholipase C beta 3 antibody detects phospholipase C beta 3 protein by western blot analysis. Various whole cell extracts (30 μg) were separated by 5% SDS-PAGE, and the membrane was blotted with phospholipase C beta 3 antibody (GTX111100) diluted by 1:1000.

2 / 4
Anti-PLCB3 antibody used in Western Blot (WB). GTX111100
GTX111100 WB Image

phospholipase C beta 3 antibody detects phospholipase C beta 3 protein by western blot analysis. Whole cell extracts (30 μg) was separated by 5% SDS-PAGE, and the membrane was blotted with phospholipase C beta 3 antibody (GTX111100) diluted by 1:1000.

3 / 4
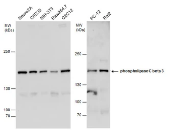
Anti-PLCB3 antibody used in Western Blot (WB). GTX111100
GTX111100 WB Image

phospholipase C beta 3 antibody detects phospholipase C beta 3 protein by western blot analysis. Various whole cell extracts of mouse and rat (30 μg) were separated by 5% SDS-PAGE, and the membrane was blotted with phospholipase C beta 3 antibody (GTX111100) diluted by 1:1000.

4 / 4
Anti-PLCB3 antibody used in Western Blot (WB). GTX111100
Anti-PLCB3 antibody used in Western Blot (WB). GTX111100
Anti-PLCB3 antibody used in Western Blot (WB). GTX111100
Anti-PLCB3 antibody used in Western Blot (WB). GTX111100
  • Host
    Rabbit
  • Clonality
    Polyclonal
  • Isotype
    IgG
  • Applications
    WB
  • Reactivity
    Human, Mouse, Rat
See all PLCB3 products