PLCG1 antibody

Cat. No. GTX50658
Cat. No.  GTX50658
Anti-PLCG1 antibody used in Western Blot (WB). GTX50658
GTX50658 WB Image

WB analysis of extracts from 3T3 cells using GTX50658 PLCG1 antibody.

1 / 2
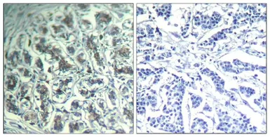
Anti-PLCG1 antibody used in IHC (Paraffin sections) (IHC-P). GTX50658
GTX50658 IHC-P Image

IHC-P analysis of human breast carcinoma tissue using GTX50658 PLCG1 antibody.
Left : Primary antibody
Right : Primary antibody pre-incubated with the antigen specific peptide

2 / 2
Anti-PLCG1 antibody used in Western Blot (WB). GTX50658
Anti-PLCG1 antibody used in IHC (Paraffin sections) (IHC-P). GTX50658
  • Host
    Rabbit
  • Clonality
    Polyclonal
  • Isotype
    IgG
  • Applications
    WB IHC-P
  • Reactivity
    Human, Mouse
See all PLCG1 products