PLCG2 (phospho Tyr1217) antibody

Cat. No. GTX78961
Cat. No.  GTX78961
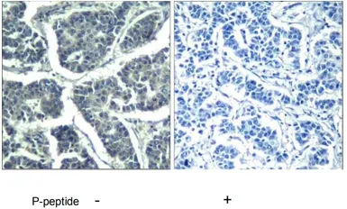
Anti-PLCG2 (phospho Tyr1217) antibody used in IHC (Paraffin sections) (IHC-P). GTX78961
GTX78961 IHC-P Image

IHC-P analysis of human breast carcinoma tissue using GTX78961 PLCG2 (phospho Tyr1217) antibody.

1 / 1
Anti-PLCG2 (phospho Tyr1217) antibody used in IHC (Paraffin sections) (IHC-P). GTX78961
  • Host
    Rabbit
  • Clonality
    Polyclonal
  • Isotype
    IgG
  • Applications
    IHC-P
  • Reactivity
    Human
See all PLCG2 products