PLK1 antibody [13E8]

Cat. No. GTX15779
Cat. No.  GTX15779
Anti-PLK1 antibody [13E8] used in Immunocytochemistry/ Immunofluorescence (ICC/IF). GTX15779
GTX15779 ICC/IF Image

ICC/IF analysis of WiDr cells using GTX15779 PLK1 antibody [13E8]. Cells were probed without (right) or with(left) an antibody.
Green : Primary antibody
Blue : Nuclei
Red : Actin
Fixation : formaldehyde
Dilution : 1:20 overnight at 4ºC

1 / 9
Anti-PLK1 antibody [13E8] used in Immunocytochemistry/ Immunofluorescence (ICC/IF). GTX15779
GTX15779 ICC/IF Image

ICC/IF analysis of HeLa cells using GTX15779 PLK1 antibody [13E8].
Progression of cells through subsequent phases of the cell cycle results in differential localization of PLK1 in spindle poles, kinetochores and cleavage furrow.
Green : Primary antibody
Blue : Nuclei
Red : Actin
Fixation : 4% paraformaldehyde
Permeabilization : 0.1% Triton X-100 for 10 minute
Dilution : 3 μg/ml in 0.1% BSA and incubated for overnight at 4ºC

2 / 9
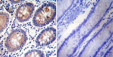
Anti-PLK1 antibody [13E8] used in IHC (Paraffin sections) (IHC-P). GTX15779
GTX15779 IHC-P Image

IHC-P analysis of human colon tissue using GTX15779 PLK1 antibody [13E8].
Left : Primary antibody
Right : Negative control without primary antibody
Antigen retrieval : heat induced antigen retrieval was performed using 10mM sodium citrate (pH6.0) buffer, microwaved for 8-15 minutes
Dilution : 1:200

3 / 9
Anti-PLK1 antibody [13E8] used in Western Blot (WB). GTX15779
GTX15779 WB Image

WB analysis of untreated or Nocodazole (100nM, 48 hours) treated U2OS lysate from non-targeting control or PLK1 siRNA transfected U2OS cells using GTX15779 PLK1 antibody [13E8].
Dilution : 1:1000
Loading : 25 μg

4 / 9
Anti-PLK1 antibody [13E8] used in Immunocytochemistry/ Immunofluorescence (ICC/IF). GTX15779
GTX15779 ICC/IF Image

ICC/IF analysis of U251 cells using GTX15779 PLK1 antibody [13E8]. Cells were probed without (right) or with(left) an antibody.
Green : Primary antibody
Blue : Nuclei
Red : Actin
Fixation : formaldehyde
Dilution : 1:20 overnight at 4ºC

5 / 9
Anti-PLK1 antibody [13E8] used in Western Blot (WB). GTX15779
GTX15779 WB Image

WB analysis of whole cell extracts (30μg) of HeLa (Lane 1), treated with Nocodazole (500nM for 18 hrs) (Lane2), SW-480 (Lane 3), treated with Nocodazole (500nM for 18 hrs) (Lane 4), COLO 205 (Lane 5), HCT 116 (Lane 6), K-562 (Lane 7), MDA-MB-231 (Lane 8), HepG2 (Lane 9), A549 (Lane 10) using GTX15779 PLK1 antibody [13E8].
Dilution : 1:1000

6 / 9
Anti-PLK1 antibody [13E8] used in Western Blot (WB). GTX15779
GTX15779 WB Image

WB analysis of PLK1 knockdown HeLa cells (lane 3), scrambled siRNA transfected cells (lane 2) and untransfected cells (lane 1) using GTX15779 PLK1 antibody [13E8].
Dilution : 1 μg/ml

7 / 9
Anti-PLK1 antibody [13E8] used in Immunocytochemistry/ Immunofluorescence (ICC/IF). GTX15779
GTX15779 ICC/IF Image

ICC/IF analysis of HeLa cells using GTX15779 PLK1 antibody [13E8]. Cells were probed without (right) or with(left) an antibody.
Green : Primary antibody
Blue : Nuclei
Red : Actin
Fixation : formaldehyde
Dilution : 1:20 overnight at 4ºC

8 / 9
Anti-PLK1 antibody [13E8] used in Immunocytochemistry/ Immunofluorescence (ICC/IF). GTX15779
GTX15779 ICC/IF Image

ICC/IF analysis of HeLa cells using GTX15779 PLK1 antibody [13E8].
Fixation : 4% paraformaldehyde
Permeabilization : 0.1% Triton X-100 for 10 minute
Dilution : 3 μg/ml in 0.1% BSA and incubated for overnight at 4ºC

9 / 9
Anti-PLK1 antibody [13E8] used in Immunocytochemistry/ Immunofluorescence (ICC/IF). GTX15779
Anti-PLK1 antibody [13E8] used in Immunocytochemistry/ Immunofluorescence (ICC/IF). GTX15779
Anti-PLK1 antibody [13E8] used in IHC (Paraffin sections) (IHC-P). GTX15779
Anti-PLK1 antibody [13E8] used in Western Blot (WB). GTX15779
Anti-PLK1 antibody [13E8] used in Immunocytochemistry/ Immunofluorescence (ICC/IF). GTX15779
Anti-PLK1 antibody [13E8] used in Western Blot (WB). GTX15779
Anti-PLK1 antibody [13E8] used in Western Blot (WB). GTX15779
Anti-PLK1 antibody [13E8] used in Immunocytochemistry/ Immunofluorescence (ICC/IF). GTX15779
Anti-PLK1 antibody [13E8] used in Immunocytochemistry/ Immunofluorescence (ICC/IF). GTX15779
  • Host
    Mouse
  • Clonality
    Monoclonal
  • Clone Name
    13E8
  • Isotype
    IgG2b
  • Applications
    WB ICC/IF IHC-P IP ELISA IHC
  • Reactivity
    Human, Mouse, Rat
See all PLK1 products