PLK1 antibody [1D4]

Cat. No. GTX83865
Cat. No.  GTX83865
Anti-PLK1 antibody [1D4] used in Immunoprecipitation (IP). GTX83865
GTX83865 IP Image

IP analysis of DDDDK tagged PLK1 overexpressed HEK293T lysate using GTX83865 PLK1 antibody [1D4].After extensive wash to remove any non-specific binding, the immuno-precipitated products were analyzed with rabbit anti-DDDDK polyclonal antibody.
IP reaction : 2μg antibody / 500μl cell lysate

1 / 18
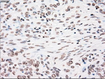
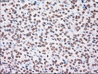
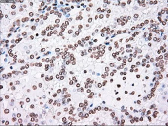
Anti-PLK1 antibody [1D4] used in IHC (Paraffin sections) (IHC-P). GTX83865
GTX83865 IHC-P Image

IHC-P analysis of human pancreas carcinoma tissue using GTX83865 PLK1 antibody [1D4].
Antigen retrieval : Heat-induced epitope retrieval by 10mM citrate buffer, pH6.0, 100ºC for 10min.

2 / 18
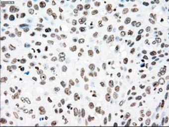
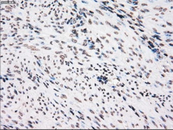
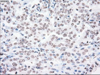
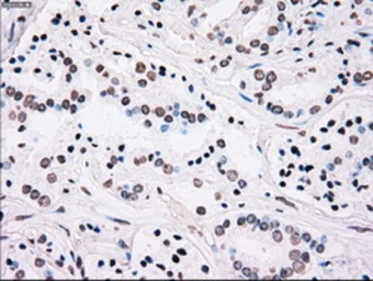
Anti-PLK1 antibody [1D4] used in IHC (Paraffin sections) (IHC-P). GTX83865
GTX83865 IHC-P Image

IHC-P analysis of human bladder carcinoma tissue using GTX83865 PLK1 antibody [1D4].
Antigen retrieval : Heat-induced epitope retrieval by 10mM citrate buffer, pH6.0, 100ºC for 10min.

3 / 18
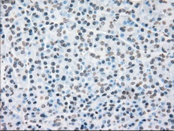
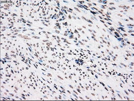
Anti-PLK1 antibody [1D4] used in IHC (Paraffin sections) (IHC-P). GTX83865
GTX83865 IHC-P Image

IHC-P analysis of human breast adenocarcinoma tissue using GTX83865 PLK1 antibody [1D4].
Antigen retrieval : Heat-induced epitope retrieval by 10mM citrate buffer, pH6.0, 100ºC for 10min.

4 / 18
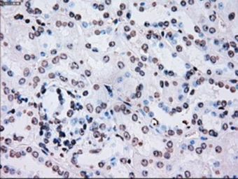
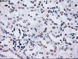
Anti-PLK1 antibody [1D4] used in IHC (Paraffin sections) (IHC-P). GTX83865
GTX83865 IHC-P Image

IHC-P analysis of human kidney carcinoma tissue using GTX83865 PLK1 antibody [1D4].
Antigen retrieval : Heat-induced epitope retrieval by 10mM citrate buffer, pH6.0, 100ºC for 10min.

5 / 18
Anti-PLK1 antibody [1D4] used in IHC (Paraffin sections) (IHC-P). GTX83865
GTX83865 IHC-P Image

IHC-P analysis of human kidney tissue using GTX83865 PLK1 antibody [1D4].
Antigen retrieval : Heat-induced epitope retrieval by 10mM citrate buffer, pH6.0, 100ºC for 10min.

6 / 18
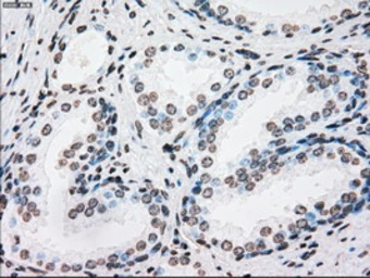
Anti-PLK1 antibody [1D4] used in IHC (Paraffin sections) (IHC-P). GTX83865
GTX83865 IHC-P Image

IHC-P analysis of human prostate carcinoma tissue using GTX83865 PLK1 antibody [1D4].
Antigen retrieval : Heat-induced epitope retrieval by 10mM citrate buffer, pH6.0, 100ºC for 10min.

7 / 18
Anti-PLK1 antibody [1D4] used in IHC (Paraffin sections) (IHC-P). GTX83865
GTX83865 IHC-P Image

IHC-P analysis of human lung tissue using GTX83865 PLK1 antibody [1D4].
Antigen retrieval : Heat-induced epitope retrieval by 10mM citrate buffer, pH6.0, 100ºC for 10min.

8 / 18
Anti-PLK1 antibody [1D4] used in Flow cytometry (FCM). GTX83865
GTX83865 FCM Image

FACS analysis of HEK293T cells transfected with either PLK1 plasmid(Red) or empty vector control plasmid(Blue) using GTX83865 PLK1 antibody [1D4].
Dilution : 1:100

9 / 18
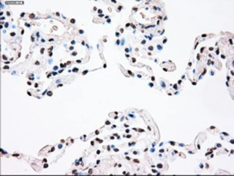
Anti-PLK1 antibody [1D4] used in IHC (Paraffin sections) (IHC-P). GTX83865
GTX83865 IHC-P Image

IHC-P analysis of human lung carcinoma tissue using GTX83865 PLK1 antibody [1D4].
Antigen retrieval : Heat-induced epitope retrieval by 10mM citrate buffer, pH6.0, 100ºC for 10min.

10 / 18
Anti-PLK1 antibody [1D4] used in IHC (Paraffin sections) (IHC-P). GTX83865
GTX83865 IHC-P Image

IHC-P analysis of human thyroid carcinoma tissue using GTX83865 PLK1 antibody [1D4].
Antigen retrieval : Heat-induced epitope retrieval by 10mM citrate buffer, pH6.0, 100ºC for 10min.

11 / 18
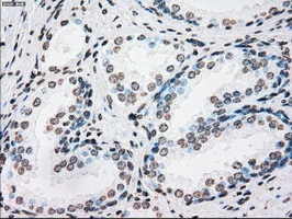
Anti-PLK1 antibody [1D4] used in IHC (Paraffin sections) (IHC-P). GTX83865
GTX83865 IHC-P Image

IHC-P analysis of human prostate tissue using GTX83865 PLK1 antibody [1D4].
Antigen retrieval : Heat-induced epitope retrieval by 10mM citrate buffer, pH6.0, 100ºC for 10min.

12 / 18
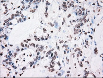
Anti-PLK1 antibody [1D4] used in IHC (Paraffin sections) (IHC-P). GTX83865
GTX83865 IHC-P Image

IHC-P analysis of human pancreas tissue using GTX83865 PLK1 antibody [1D4].
Antigen retrieval : Heat-induced epitope retrieval by 10mM citrate buffer, pH6.0, 100ºC for 10min.

13 / 18
Anti-PLK1 antibody [1D4] used in IHC (Paraffin sections) (IHC-P). GTX83865
GTX83865 IHC-P Image

IHC-P analysis of human endometrium tissue using GTX83865 PLK1 antibody [1D4].
Antigen retrieval : Heat-induced epitope retrieval by 10mM citrate buffer, pH6.0, 100ºC for 10min.

14 / 18
Anti-PLK1 antibody [1D4] used in IHC (Paraffin sections) (IHC-P). GTX83865
GTX83865 IHC-P Image

IHC-P analysis of human colon adenocarcinoma tissue using GTX83865 PLK1 antibody [1D4].
Antigen retrieval : Heat-induced epitope retrieval by 10mM citrate buffer, pH6.0, 100ºC for 10min.

15 / 18
Anti-PLK1 antibody [1D4] used in IHC (Paraffin sections) (IHC-P). GTX83865
GTX83865 IHC-P Image

IHC-P analysis of human endometrium adenocarcinoma tissue using GTX83865 PLK1 antibody [1D4].
Antigen retrieval : Heat-induced epitope retrieval by 10mM citrate buffer, pH6.0, 100ºC for 10min.

16 / 18
Anti-PLK1 antibody [1D4] used in Western Blot (WB). GTX83865
GTX83865 WB Image

WB analysis of HEK293T cells transfected with PLK1 plasmid (Right) or empty vector (Left) for 48 hrs using GTX83865 PLK1 antibody [1D4].
Loading : 5 ug per lane
Dilution : 1:500

17 / 18
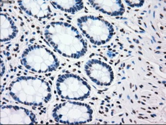
Anti-PLK1 antibody [1D4] used in IHC (Paraffin sections) (IHC-P). GTX83865
GTX83865 IHC-P Image

IHC-P analysis of human colon tissue using GTX83865 PLK1 antibody [1D4].
Antigen retrieval : Heat-induced epitope retrieval by 10mM citrate buffer, pH6.0, 100ºC for 10min.

18 / 18
Anti-PLK1 antibody [1D4] used in Immunoprecipitation (IP). GTX83865
Anti-PLK1 antibody [1D4] used in IHC (Paraffin sections) (IHC-P). GTX83865
Anti-PLK1 antibody [1D4] used in IHC (Paraffin sections) (IHC-P). GTX83865
Anti-PLK1 antibody [1D4] used in IHC (Paraffin sections) (IHC-P). GTX83865
Anti-PLK1 antibody [1D4] used in IHC (Paraffin sections) (IHC-P). GTX83865
Anti-PLK1 antibody [1D4] used in IHC (Paraffin sections) (IHC-P). GTX83865
Anti-PLK1 antibody [1D4] used in IHC (Paraffin sections) (IHC-P). GTX83865
Anti-PLK1 antibody [1D4] used in IHC (Paraffin sections) (IHC-P). GTX83865
Anti-PLK1 antibody [1D4] used in Flow cytometry (FCM). GTX83865
Anti-PLK1 antibody [1D4] used in IHC (Paraffin sections) (IHC-P). GTX83865
Anti-PLK1 antibody [1D4] used in IHC (Paraffin sections) (IHC-P). GTX83865
Anti-PLK1 antibody [1D4] used in IHC (Paraffin sections) (IHC-P). GTX83865
Anti-PLK1 antibody [1D4] used in IHC (Paraffin sections) (IHC-P). GTX83865
Anti-PLK1 antibody [1D4] used in IHC (Paraffin sections) (IHC-P). GTX83865
Anti-PLK1 antibody [1D4] used in IHC (Paraffin sections) (IHC-P). GTX83865
Anti-PLK1 antibody [1D4] used in IHC (Paraffin sections) (IHC-P). GTX83865
Anti-PLK1 antibody [1D4] used in Western Blot (WB). GTX83865
Anti-PLK1 antibody [1D4] used in IHC (Paraffin sections) (IHC-P). GTX83865
  • Host
    Mouse
  • Clonality
    Monoclonal
  • Clone Name
    1D4
  • Isotype
    IgG2b
  • Applications
    WB IHC-P FCM IP
  • Reactivity
    Human
See all PLK1 products