PLK1 antibody [3C11]

Cat. No. GTX60627
Cat. No.  GTX60627
Anti-PLK1 antibody [3C11] used in Western Blot (WB). GTX60627
GTX60627 WB Image

WB analysis of K562 (1) and Raji (2) cell lysate using GTX60627 PLK1 antibody [3C11].

1 / 5
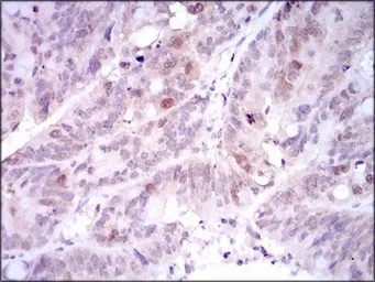
Anti-PLK1 antibody [3C11] used in IHC (Paraffin sections) (IHC-P). GTX60627
GTX60627 IHC-P Image

IHC-P analysis of rectum cancer tissue using GTX60627 PLK1 antibody [3C11].

2 / 5
Anti-PLK1 antibody [3C11] used in ELISA (ELISA). GTX60627
GTX60627 ELISA Image

ELISA analysis of antigen using GTX60627 PLK1 antibody [3C11].
Black : Control antigen 100ng
Purple : Antigen 10ng
Blue : Antigen 50ng
Red : Antigen 100ng

3 / 5
Anti-PLK1 antibody [3C11] used in Flow cytometry (FCM). GTX60627
GTX60627 FCM Image

FACS analysis of NIH3T3 cells using GTX60627 PLK1 antibody [3C11].
Green : PLK1
Red : negative control

4 / 5
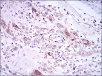
Anti-PLK1 antibody [3C11] used in IHC (Paraffin sections) (IHC-P). GTX60627
GTX60627 IHC-P Image

IHC-P analysis of stomach cancer tissue using GTX60627 PLK1 antibody [3C11].

5 / 5
Anti-PLK1 antibody [3C11] used in Western Blot (WB). GTX60627
Anti-PLK1 antibody [3C11] used in IHC (Paraffin sections) (IHC-P). GTX60627
Anti-PLK1 antibody [3C11] used in ELISA (ELISA). GTX60627
Anti-PLK1 antibody [3C11] used in Flow cytometry (FCM). GTX60627
Anti-PLK1 antibody [3C11] used in IHC (Paraffin sections) (IHC-P). GTX60627
  • Host
    Mouse
  • Clonality
    Monoclonal
  • Clone Name
    3C11
  • Isotype
    IgG1
  • Applications
    WB IHC-P FCM ELISA
  • Reactivity
    Human, Mouse
See all PLK1 products