PLTP antibody, C-term

Cat. No. GTX81352
Cat. No.  GTX81352
Anti-PLTP antibody, C-term used in Flow cytometry (FCM). GTX81352
GTX81352 FCM Image

FACS analysis of HepG2 cells using GTX81352 PLTP antibody, C-term.
Green : primary antibody
Blue : negative control

1 / 3
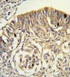
Anti-PLTP antibody, C-term used in IHC (Paraffin sections) (IHC-P). GTX81352
GTX81352 IHC-P Image

IHC-P analysis of human lung carcinoma using GTX81352 PLTP antibody, C-term.

2 / 3
Anti-PLTP antibody, C-term used in Western Blot (WB). GTX81352
GTX81352 WB Image

WB analysis of HepG2 cell lysate (35ug/lane) using GTX81352 PLTP antibody, C-term.

3 / 3
Anti-PLTP antibody, C-term used in Flow cytometry (FCM). GTX81352
Anti-PLTP antibody, C-term used in IHC (Paraffin sections) (IHC-P). GTX81352
Anti-PLTP antibody, C-term used in Western Blot (WB). GTX81352
  • Host
    Rabbit
  • Clonality
    Polyclonal
  • Isotype
    IgG
  • Applications
    WB IHC-P FCM
  • Reactivity
    Human
See all PLTP products